Bruksizm (Diş Sıkması) nedir, sebepleri neler, nasıl tedavi edilir?

Bruksizm (Diş Sıkması) nedir, sebepleri neler, nasıl tedavi edilir?

12.05.2022 16:45:00
Güncellenme:
Bruksizm (Diş Sıkması) nedir, sebepleri neler, nasıl tedavi edilir?

Bruksizm (Diş Sıkması) nedir, sebepleri neler, nasıl tedavi edilir?

Bruksizm (diş sıkma) bireyin dişlerini sıktığı, gıcırdattığı veya birbirine bastırdığı bir rahatsızlık; bu rahatsızlığı olan bireyler uyanıkken dişlerini bilinçsizce sıkabiliyor veya uyku sırasında dişlerini sıkıp gıcırdatabiliyor. Uyku bruksizm (diş gıcırdatma), normalde uyku ile ilişkili bir hareket bozukluğu olarak kabul ediliyor. Uyku sırasında dişlerini sıkan veya gıcırdatan bireylerin, horlama ve nefes almada duraklamalar yani uyku apnesi gibi başka uyku bozukluklarına sahip olma olasılığının daha yüksek olduğu gözlemlendi. Hafif bruksizm vakaları herhangi bir tedavi gerektirmeyebiliyor. Bununla birlikte, bazı bireylerde bruksizm, çene bozukluklarına, baş ağrılarına, hasarlı dişlere ve diğer sorunlara yol açacak kadar sık ve şiddetli olabiliyor.

Bireyin uyku bruksizmi (diş gıcırdatması) olduğunu fark etmesi çeşitli komplikasyonlar gelişene kadar kolay olmayacağı için bruksizmin (diş gıcırtdatmasının) belirti ve semptomlarını bilmek ve düzenli diş bakımını sürdürmek, bireyin ağız ve diş sağlığı için önem taşıyor.

Bruksizm (Diş Sıkması) nedir, sebepleri neler, nasıl tedavi edilir?

Diş yaklaşımları sürecinde doktor bireyin veya çocuğunun dişlerini koruma veya iyileştirme yolları önerebiliyor. Her ne kadar bu yöntemler dişlerin yıpranmasını önlese veya düzeltebilse dahi, bruksizmin (diş sıkmasının) kendisini durduramayabiliyor:

*Ateller ve ağız koruyucuları sıkma ve gıcırdatma nedeniyle oluşan hasarı önlemek üzere dişleri birbirinden ayrı tutmak için tasarlandı. Sert akrilik veya daha yumuşak malzemelerden yapılan bu araçlar üst veya alt dişlerin üzerine oturabiliyor.

*Daha ciddi vakalarda, özellikle diş aşınması dişte hassasiyete veya düzgün çiğneme yetersizliğine yol açtığında diş hekiminin dişlerin çiğneme yüzeylerini yeniden şekillendirmesi veya hasarı onarmak için kuronlar kullanarak diş düzeltmesi yapması gerekebiliyor.

*Alışkanlıklarını değiştirmekte zorlanan bireyler, çenedeki kas aktivitesini kontrol etmeyi öğretmek için izleme prosedürleri ve ekipmanı kullanan bir yöntem olan biyolojik geri bildirimden yararlanabiliyor.

Bruksizm (Diş Sıkması) nedir, sebepleri neler, nasıl tedavi edilir?

*Genel olarak birçok vakada ilaç kullanımı bruksizmin tedavisi için çok etkili olmuyor ve etkinliklerini belirlemek için daha fazla araştırma yapılması gerekiyor. Buna rağmen daha uygun vakalarda bruksizm (diş sıkması) için kullanılabilecek ilaç örnekleri arasında öncelikle kas gevşeticiler bulunuyor.

*Bazı durumlarda, doktor yatmadan önce kısa bir süre önce bir kas gevşetici almayı önerebiliyor. Doktor, bruksizme (diş gıcırdatmasına) neden olabilecek stres veya diğer duygusal sorunlarla başa çıkmaya yardımcı olmak için kısa süreli antidepresan veya anti-anksiyete ilaçları kullanımını önerebiliyor.

*Birey bir ilacın yan etkisi olarak bruksizm (diş sıkması) geliştirdiyse, doktor ilacın dozunu değiştirebiliyor veya farklı bir ilaç yazabiliyor. Ancak doktora başvurmadan birey bir ilacın dozunu kendisi değiştirmemesi veya kullanımını bırakmaması önemle vurgulanıyor.

*Bruksizmin (diş sıkması) nedeni olarak Gastroözofageal reflü hastalığı (GERD) gibi altta yatan bir tıbbi durum belirlenirse, bu durumu tedavi etmek bruksizmi iyileştirebiliyor.

Bruksizm (Diş Sıkması) nedir, sebepleri neler, nasıl tedavi edilir?

NELER YAPILMASI ÖNERİLİYOR?

*Atılacak çeşitli bireysel bakım adımları bireyde bruksizmi önleyebiliyor veya durumu tedavi etmeye yardımcı olabiliyor. Bunun için bireyin önce stresi azaltıcı adımlar atması gerekiyor. Gün içinde müzik dinlemek, yatmadan önce sıcak bir banyo yapmak veya egzersiz yapmak rahatlamaya yardımcı olabiliyor ve bruksizm (diş sıkması) geliştirme riskini azaltabiliyor.

*Akşamları uyarıcı maddelerden kaçınmak bireye yardımcı olabiliyor. Özellikle akşam yemeğinden sonra kafeinli kahve veya çay içmekten kaçınmak ve bruksizm (diş sıkması) kötüleştirebileceğinden akşamları alkolden uzak durmak bireyin çenesini sıkmasını durdurabiliyor. 

Bruksizm (Diş Sıkması) nedir, sebepleri neler, nasıl tedavi edilir?

BRUKSİZM NASIL TEŞHİS EDİLİYOR?

Diş hekimleri düzenli diş muayeneleri sürecinde olası bruksizm (diş sıkma) belirtilerini de kontrol ediyor. Diş hekimi eğer herhangi bir belirti ile karşılaşırsa sürecin ilerleyip ilerlemediğini görmek ve bireyin tedaviye ihtiyacı olup olmadığını belirlemek için sonraki birkaç ziyarette dişlerde ve ağzınızda değişiklik olup olmadığını araştırıyor.

Diş hekimi, bireyde bruksizm (diş sıkma) olduğunu teşhis ederse, bireyin genel diş sağlığı, kullandığı ilaçlar, günlük rutinleri ve uyku alışkanlıkları hakkında sorular sorarak diş sıkmanın nedenini belirlemeye çalışıyor.

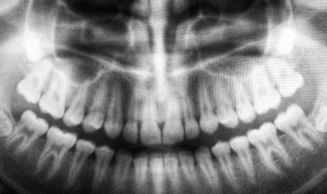
Bruksizm (diş sıkma) tanısını koyma sürecinde diş hekimi durumunun boyutunu değerlendirmek için çeşitli öğeleri kontrol ediyor. Bu kontrol edilen öğeler arasında çene kaslarında hassasiyet, kırık veya eksik dişler gibi belirgin diş anormallikleri ile dişlerde ve yanakların iç kısmında hasar izi ile röntgen yardımıyla altta yatan çene kemiğinde hasar izi aranması bulunuyor. Bu sayede normal bir diş muayenesi, temporomandibular eklem bozukluklarını, diğer diş sorunlarını veya benzer çene veya kulak ağrısına neden olabilecek diğer sağlık bozukluklarını tespit edebiliyor.

Bruksizm (Diş Sıkması) nedir, sebepleri neler, nasıl tedavi edilir?

Birçok vakada, özellikle küçük yaştaki çocuklarda görülen bruksizm (diş sıkması) herhangi bir tedaviye gerek olmadan kendiliğinden iyileşiyor ve yetişkinler genellikle dişlerini terapi gerektirecek kadar kötü sıkmıyor veya gıcırdatmıyor. Ancak bazı nadir ve daha ağır vakalarda bruksizmin önlenmesi için bruksizme neden olan ve altta yatan sebebin tedavi edilmesi gerekebiliyor.

Şiddetli bruksizm (diş sıkması) vakalarında uygulanan tedavi süreci daha fazla diş hasarını önlemek ve çene ağrısını veya rahatsızlığını gidermek için belirli diş yaklaşımlarını, terapileri ve ilaçları içeriyor. Bireyin kendisi veya bruksizmden (diş sıkmasından) etkilenen çocuğu için en uygun seçeneğin hangisi olduğunu öğrenmek için diş hekimi veya doktoru ile konuşması öneriliyor.

Çeşitli yaklaşımlar bireyde görülen bruksizmi (diş sıkması) hafifletmeye yardımcı olabiliyor.  

Bruksizmi (diş sıkması) daha büyük uyku sorunlarıyla ilişkili görünen bireyler için doktor bir uyku tıbbı uzmanı önerebiliyor. Uyku tıbbı uzmanı bireyin diş gıcırdatma olaylarını değerlendirecek ve bireyde uyku apnesi veya diğer uyku bozukluklarının olup olmadığını belirleyecek bir uyku çalışması gibi bir test yapılmasını isteyebiliyor. 

Diş sıkması, anksiyete veya benzeri diğer psikolojik sorunlar ile ilgili görünüyorsa, doktor bireyi lisanslı bir terapiste veya danışmana yönlendirilebiliyor. Stres veya anksiyete yönetimi bruksizmi (diş sıkmasını) hafifletmede bireye yardımcı olabiliyor. Dişleri stres nedeniyle sıkan bireyler meditasyon gibi gevşemeyi teşvik eden stratejileri öğrenerek sorunu önleyebiliyor. Birey, bruksizmi (diş sıkması) olduğunu keşfettiğinde uygun ve doğru ağız ile çene pozisyonunu uygulayarak diş sıkma ve gıcırdatma davranışını değiştirebiliyor. Birey elbette kendi ağzı için en uygun ve doğru pozisyonu öğrenmek üzere dişçisine başvurabiliyor.

Bruksizm (Diş Sıkması) nedir, sebepleri neler, nasıl tedavi edilir?

BRUKSİZM NEDENLERİ

Tıp uzmanları, bruksizme (diş gıcırtısına) neyin sebep olduğunu tam olarak saptayamadı, ancak genetik, fiziksel ve psikolojik faktörlerin bir kombinasyonundan kaynaklandığı düşünülüyor.

Birçok vakada uyanık bruksizm (diş gıcırtısı), anksiyete, stres, öfke, hayal kırıklığı veya gerginlik gibi duygulardan kaynaklanıyor. Bunun yanı sıra bireyin derin konsantrasyona girdiği bir süreçte bir başa çıkma stratejisi veya bir alışkanlık olarak gelişmiş olabiliyor.

Uyku bruksizmi (diş gıcırtısı) ise uyku sırasındaki uyarılma ile ilişkili veya uyku ile ilişkili bir çiğneme aktivitesinin sonucunda ortaya çıkabiliyor. Çeşitli faktörler, bireyde bruksizm (diş gıcırtısı) gelişmesi riskini artırıyor: Bu faktörler arasında öncelikle stres geliyor. Artan anksiyete veya stres dişlerin gıcırdatılmasına neden olabiliyor. Bunun sebebi öfke ve hayal kırıklığı da olabiliyor. Bruksizm (diş gıcırtısı), parkinson hastalığı, demans, gastroözofageal reflü bozukluğu yani GERD, epilepsi, gece terörü, uyku apnesi gibi uyku ile ilgili bozukluklar ve dikkat eksikliği / hiperaktivite bozukluğu yani DEHB gibi bazı diğer zihinsel sağlık ve tıbbi bozukluklarla ilişkilendirilebiliyor.

Bruksizm (Diş Sıkması) nedir, sebepleri neler, nasıl tedavi edilir?

BRUKSİZM BELİRTİLERİ

Bruksizm (diş gıcırdatması) birey uyurken gerçekleşiyorsa uyku bruksizmi (diş gıcırdatması), birey uyanıkken gerçekleşiyorsa uyanık bruksizm olmak üzere iki farklı tipe ayrılıyor.  

Bruksizm (diş gıcırdatması) dişleri birbirine bastırmadan kaynaklanan çeşitli belirti ve semptomları bulunuyor. Diş sıkma belirti ve semptomları arasında başta;

*Bireyin uyku partnerini uyandıracak kadar yüksek sesle dişleri gıcırdatma

*Birbirine kenetleme olmak üzere artan diş ağrısı

*Dişte hassasiyet, çatlamış, düzleşmiş, gevşemiş veya yontulmuş dişler

*Çenede, boyunda veya yüzde ağrı

*Dişin daha derin katmanlarını açığa çıkaracak kadar aşınmış diş minesi

*Kulakta bir sorun olmasa da kulak ağrısı gibi hissedilen ağrı

*Şakaklarda başlayan hafif baş ağrısı

*Uyku bozukluğu

*Yanak iç kısmında çiğnemeden kaynaklanan hasar

*Yorgun ya da kasılan çene kasları ile tamamen açılıp kapanmayan kilitlenmiş bir çene bulunuyor.

Yukarıda listelenen belirtilerden herhangi birine sahip olan ya da dişler veya çeneyle ilgili başka endişeleri olan bireylerin diş hekimine veya doktora başvurması gerekiyor.

Çocuklarında diş gıcırdatılması veya başka Bruksizm (diş gıcırdatması) belirtisi ya da semptomları olduğunu fark eden ebeveynler, çocuğun bir sonraki diş randevusunda bundan bahsetmeli.

Bruksizm (Diş Sıkması) nedir, sebepleri neler, nasıl tedavi edilir?

Yaş, bruksizm (diş gıcırtısı) için bir başka etkileyici faktör; Bruksizm (diş gıcırtısına) küçük çocuklarda daha yaygın, ancak genellikle yetişkinlikte iyileşiyor. Agresif, rekabetçi veya hiperaktif bir kişilik tipine sahip bireylerde ise bruksizm (diş gıcırtısı) riskinin yüksek olduğu gözlemlendi.

Bruksizm (diş gıcırtısı), bazı antidepresanlar gibi psikiyatrik ilaçların nadir görülen bir yan etkisi olabiliyor. Benzeri bir şekilde sigara içmek, kafeinli içecekler,  alkol tüketmek veya keyif verici ilaçlar kullanmak bruksizm (diş gıcırtısı) riskini artırabiliyor. Uyku bruksizmi (diş gıcırtısı) özellikle ailelerde görülme eğiliminde, ailelerinde de bruksizm geçmişi olan bireylerin bu rahatsızlığı yaşaması çok yüksek ihtimalli. 

Birçok vakada bruksizm (diş gıcırtısı) ciddi komplikasyonlara neden olmuyor. Ancak şiddetli bruksizm (diş gıcırtısı) dişlerde dolgu veya restorasyon yapılmasını gerektirecek hasara, tansiyon kaynaklı baş ağrılarına ve çenede veya yüzde şiddetli ağrıya yol açabiliyor. Kısaca TME adı verilen temporomandibular eklemlerde, yani çene eklemlerinde meydana gelen bozukluklar bireyin ağzını açıp kapaması sürecinde kulağına bir tıklama sesi gelmesine neden olabiliyor. 

Bruksizm (Diş Sıkması) nedir, sebepleri neler, nasıl tedavi edilir?

*Birey düzenli ve yeterli uyku almak için çaba göstermeli ve ideal olarak her gece aynı saatte yatmalı; bu şekilde kazanılan iyi uyku alışkanlıkları bruksizm (diş sıkması) azaltmaya yardımcı olabiliyor.

*Birey, eğer varsa uyku partneri ile konuşmalı; çünkü bu sayede uyurken çıkardığı diş gıcırdatma veya tıklama sesleri mevcutsa bunu diş hekimine bildirmek mümkün olabiliyor. 

Bruksizm (Diş Sıkması) nedir, sebepleri neler, nasıl tedavi edilir?

*Birey düzenli diş kontrolüne gitmesi öneriliyor. Diş muayeneleri,  bruksizmi (diş sıkması) tanımlamanın en iyi yolu. Çünkü diş hekimi, düzenli ziyaretler ve muayeneler sırasında ağızda ve çenede oluşan bruksizm (diş sıkması) belirtilerini görebiliyor.

İlgili Konular: