Göttingen Üniversitesi’ndeki fizikçiler, Hannover Tıp Üniversitesi’nden akciğer uzmanları ile birlikte üç boyutlu bir görüntüleme tekniği geliştirdiler. Geliştirdikleri bu teknik, ağır geçirilen COVID-19 sonucunda akciğer dokusunda oluşmuş hasarın yüksek çözünürlüklü ve üç boyutlu temsili görselinin alınmasına olanak tanıyor. Araştırmacılar özel bir X-ışını mikroskobu tekniği kullanarak koronavirüsün, alveollerin (akciğerdeki küçük hava keselerinin) yapısında ve damar sisteminde ortaya çıkardığı değişiklikleri gözlemlediler. Yaptıkları bu çalışmanın sonuçları eLife dergisinde yayınlandı.
DOKUYA ZARAR VERMEDEN GERÇEKLEŞTİRİLDİ
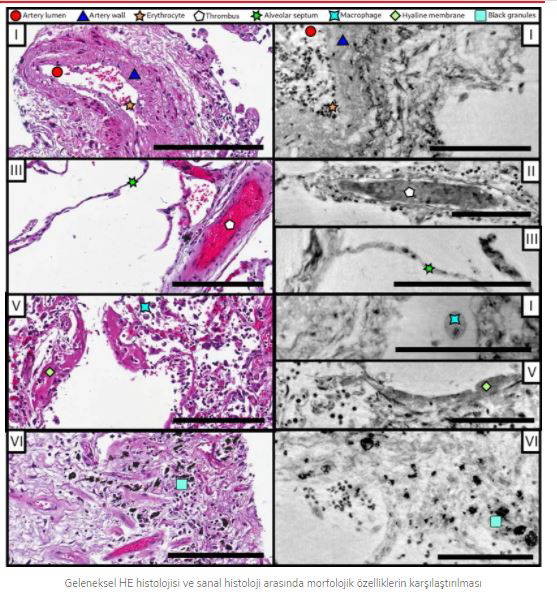
Araştırmacılar, oldukça şiddetli seyreden COVID-19 hastalığında alveollerin duvarlarında biriken ve protein ve ölü hücre topluluklarından oluşan, gaz alışverişini zorlaştıran veya imkansız hale getiren damar sistemi, iltihaplanma, kan pıhtıları ve özellikle de “hiyelin (akciğer) zarında” meydana gelmiş önemli değişiklikleri gözlemlediler. Yeni görüntüleme yaklaşımları ile bu değişiklikler ilk defa geleneksel histolojinin tersine dokuyu kesmeden, boyamadan ya da dokuya zarar vermeden gerçekleştirildi.
Bu teknik, küçük kan damarları ve bu damarların dallanmalarını üç boyutta görüntüleyerek iltihaplanma durumunda bölgeye akın eden bağışıklık sistemi hücrelerinin yerini tespit etmek ya da alveollerin duvar kalınlıklarını ölçmek gibi birçok şeyi görüntülememize olanak tanıyacak. Ayrıca bu teknik gaz alışverişleri hakkında fikir edinmek için de kullanılabilecek.

"KEŞFEDİLMEMİŞ KISIMLARI KEŞFETMEMİZE OLANAK TANIYABİLİR"
Göttingen Üniversitesi X-ışını Fiziği Enstitüsü’nden baş yazar Profesör Tim Salditt, bu teknik hakkında şöyle diyor:
"Yakınlaştırma tomografisi kullanılarak, balmumu benzeri bir yapıda gömülü olan akciğer dokusunun büyük alanları detaylı taranarak; akciğer iltihaplanmaları ve ayrıca kan damarlarındaki ya da bronşiyal tüpler çevresindeki henüz keşfedilmemiş kısımları keşfetmemize olanak tanıyabilir."
X ışınları dokuya derinlemesine nüfuz ettiğinden bu teknik; bilim insanlarının, bir organın mikroskobik doku yapısı ve beraberinde daha büyük ve işlevsel olan yapısı arasında ilişki kurmasını ve bu ilişkiyi anlamlandırmasına olanak tanıyor. Örneğin bu, kan damarları ve ondan ayrılan dalların sahip olduğu küçük kılcal damara kadar görselleştirmek açısından oldukça önemlidir.

Araştırmacılar, bu yeni X-ışını tekniğinin geleneksel histoloji ve histopatolojinin bir uzantısı olacağını ve patologlar tarafından 19. yüzyıla kadar uzanan birçok hastalığın mikroskobik kökeninin; optik mikroskopların yeni ortaya çıkardığı fırsatlar ile elde edileceğini öngörüyorlar. Günümüzde bile patologlar, dokuyu hazırlamak ve inceleyebilmek için hala aynı geleneksel adamları izlemekte (kimyasal fiksasyon, dilimleye, boyama ve mikroskobik) ancak bu yöntemler kullanılsa bile eğer bilgisayar programları ile analiz yapılıyorsa üç boyutlu görüntülerin elde edilmesinde ya da büyük çaplı hücrelerin taranmasında ve dijitalleştirilmesinde asla yeterli gelmiyor.
TIBBİ TOMOGRAFİ YETERLİ DEĞİL
Üç boyutlu görüntüleme, bilgisayarlı tıbbi tomografi (BT) olarak da bilinir ve oldukça geleneksel bir tekniktir. Ancak ne yazık ki bu tekniğin çözünürlüğü ve kontrastı, doku yapısının hücresel ya da hücre altı çözünürlüğünü tespit etmek için ne yazık ki yeterli değildir. Bu nedenle araştırmacılar dedektörde iyi çözünürlüklü bir model oluşturmak için, X-ışınlarının farklı dokular üzerinde farklı yayılış hızının olmasından yararlanarak “faz kontrastı” kullandılar.


Salditt, enstitüsündeki araştırma grubu ile birlikte bu modellerden net görüntüler oluşturabilmek için “özel aydınlatma optiği ve algoritma” geliştirdi. Geliştirdikleri bu yaklaşımı, COVID-19’un şiddetli ilerlemesinden dolayı zarar görmüş akciğer dokusunun incelenmesi için akciğerler üzerinde uyarladılar.
Göttingen’deki araştırma ekibi ise hasar görmüş akciğer dokusunu ölçeklenebilir boyut ve çözünürlükte kaydederek hem daha büyük genel gözlemler hem de yakın plan rekonstrükasyonlar elde ettiler. Yeni geliştirdikleri bu tekniğin ortama bağlı olarak, geleneksel ışık mikroskobunun aksine; mikroskobun çözünürlüğünün altında kalan yapısal ayrıntıların da gözlemlenebilir çözünürlüğe gelmesini istediler ve bu amaçlarını gerçekleştirmek için Hamburg’daki Alman Elektron Senkrotunun (DESY) PETRAIII depolama halkasında üretilen oldukça güçlü bir X-ışını radyasyonu kullandılar.


Modern mikroskobun 150 yıl önce icat edildiği zaman olduğu gibi, fizikçiler ve tıp araştırmacıları arasındaki iş birliği bu yaklaşımın geliştirilmesinde önemli bir ilerleme sağladı. Disiplinler arası araştırma ekibi, geliştirdikleri bu yeni yöntemin COVID-19 hastalığı ile meydana gelen ciddi akciğer hasarını önlemek veya hafifletmek için geliştirilecek olan tedavi yöntemleri ve ilaçları ya da rejenerasyonunu ve iyileşmesini destekleyeceğini umuyor. Çalışmanın tıbbi kısmına liderlik eden Danny Jonigk şöyle diyor:
"Ancak gerçekte neler olup bittiğini açıkça görebildiğimiz ve anlayabildiğimiz zaman, hedefe odaklı müdahaleler ve ilaçlar geliştirebiliriz."
Kaynak: Evrim Ağacı

