Türk profesör beynin şifresini çözdü

Türk profesör beynin şifresini çözdü

16.05.2011 08:32:00
Güncellenme:
Takip Et:
Türk profesör beynin şifresini çözdü

İnsan beyninin oluşumdaki en büyük gizemlerden biri, Yale Üniversitesi'nde genetik üzerine çığır açıcı çalışmalara imza atan Prof. Dr. Murat Günel'in Türkiye'deki araştırmacılarla işbirliği sonucu çözüldü.

Çalışma sonunda, insanı diğer türlerden ayıran ve insan beynine şekil vererek, zekanın oluşmasına zemin hazırlayan yeni bir gen keşfedildi.

Beynin oluşumunda önemli rol oynayan ''laminin-gamma3'' isimli genin keşfi, önleyici hekimlik hizmetleri sayesinde beyinsel hastalıkların engellenmesi için kritik rol oynuyor. Bu tür genlerin keşfinin ayrıca, beyni geç yaşlarda etkileyen Alzheimer ve Parkinson gibi nörodejeneratif hastalıkların tedavilerinin bulunmasına zemin hazırlayabileceği düşünülüyor.

Yale Üniversitesi Beyin Damar Hastalıkları Beyin Cerrahisi Bilim Dalı Başkanı ve Beyin Genetiği Programı Direktörü Prof. Dr. Murat Günel, insan beyninin tipik görüntüsünü veren yüzey kıvrımlarının nasıl oluştuğunun şimdiye kadar bilinmediğini ifade etti.

İnsan beyninin en bariz ve önemli özelliklerinden biri olan bu kıvrımların, beynin yüzey alanını arttırarak insan zekasının gelişmesinin ardında yatan sır olduğunun gösterildiğini anlatan Günel, fakat bu kıvrımların oluşmasında rol oynayan genlerin şimdiye kadar bulunamadığını belirtti.

Günel, başkanlığını yürüttüğü ekibin, Türkiye ile işbirliği yaparak insanı diğer türlerden ayıran ve insan beynine şekil vererek, zekanın oluşmasına zemin hazırlayan yeni bir gen keşfettiklerini bildirdi.
 

İlk hasta Cerrahpaşa'dan

Çalışmalarına katılan ilk hastanın, İstanbul Üniversitesi Cerrahpasa Tip Fakültesi'nde olduğunu dile getiren Günel, erken yaşta sara nöbeti geçirmeye başlayan bu hastanın genetik uzmanı Prof. Dr. Beyhan Tüysüz ve beyin hastalıkları uzmanları Prof. Dr. Veysi Demirbilek ve Prof. Dr. Cengiz Yalçınkaya aracılığı ile ekibine refere edildiğini anlattı.
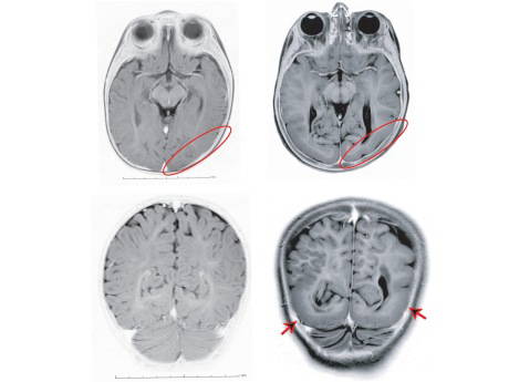
İlk yapılan incelemelerde hastanın beyninin büyük bir kısmının normal geliştiği halde, görme merkezlerinin bulunduğu arka kısmının kıvrımlarının oluşmadığı, beyin yüzeyinin düz kaldığının görüldüğünü belirten Günel, hasta üzerindeki ilk genetik incelemelerin 6 senedir çalışmalarını beraber yürüttüğü Dr. Kaya Bilguvar'ın gözetimi altında, İstanbul Üniversitesi Tip Fakultesi öğrencisi Tanyeri Barak tarafından başlatıldığını belirtti.

Çalışma Nature'da bilim dünyasına duyuruldu

Prof. Dr. Günel, dünyanın en prestijli bilim dergilerinden ''Science'' tarafından ''2010 yılının en büyük 10 buluşundan biri seçilen Yale ekibinin geliştirdiği yeni teknoloji sayesinde, hastalığa sebep olan gen bozukluğunun bulunduğunu duyurdu.
Günel, gen tespitinin dünyanın en önemli bilimsel dergilerinden biri olan Nature Genetics'te dün tüm bilim dünyasına açıklandığını bildirdi.
 

Gen, rekor hızla keşfedildi

Genin, Dr. Bilguvar ve Barak'ın yoğun çalışmaları ile rekor bir hızla keşfedildiğine işaret eden Günel, bu genin insan beyninin gelişiminde temel bir rol oynadığını vurguladı.
Günel, yeni teknoloji sayesinde insan genetik yapısını oluşturan 3 milyar harfin içinde sadece iki harfin silinmesinin bu hastalığa neden olduğunun kanıtlandığını söyledi.
Çalışmaya katılan ikinci hastanın Hacettepe Üniversitesi'nden Prof. Serap Saygı tarafından takip edildiğini ve erişkin yaşlardaki bu hastanın beyin yapı ve fonksiyonunun Bilkent Üniversitesi profesörlerinden Katja Doerschner, Huseyin Boyacı, Ergin Atalar ve Tayfun Özçelik tarafından incelendiğini anlatan Günel, Bahçeşehir Üniversitesi öğretim üyelerinden ve Yale'de tıbbi genetik uzmanlığını tamamlayan Dr. Hande Kaymakçalan'ın da çalışmaya lojistik destek sağladığını kaydetti.

Nature Genetics dergisinde yayımlanan yazıda bildirilen ve bu genin beyin kıvrımlarının oluşumunda oynadığı rolü kanıtlayan 3. ailenin yine Prof. Beyhan Tüysüz tarafından keşfedildiğini dile getiren Günel, şu bilgileri verdi:

''Yapılan ileri biyolojik çalışmalar, 'laminin-gamma3 (LAMC3)' isimli bu genin beynin gelişimi sırasında kök hücrelerce sentez edildiğini ve daha ileri dönemlerde beyindeki sinir hücrelerinin birbiri ile temaslarını sağladığı gösterdi. Detaylı radyolojik incelemeler Acıbadem Üniversitesinde Prof. Alp Dinçer tarafından yapıldı. Saliha Yılmaz, Mehmet Bakırcıoğlu, Ahmet Okay Çağlayan ve Ali Kemal Öztürk çalışmada yer alan diğer Türk araştırmacılar oldu.

İnsan beyninin gelişiminde çok temel bir rol oynayan bu genin keşfi, insanların en üstün yapısı olan beynin sırrını anlamaya bizi bir adım daha yaklaştırmış oldu. İnsan beynindeki kıvrımlar, beynin en üst tabakasının yüzey alanını genişletiyor ve bir anlamda beynin kompütasyon gücünü arttırarak kompleks işlemleri yapmasına olanak sağlıyor. Beynin oluşumunda önemli rol oynayan bu genlerin keşfi, önleyici hekimlik hizmetleri sayesinde bu tip hastalıkların engellenmesi ve hem bu hastalıkların, hem de beyni geç yaşlarda etkileyen Alzheimer ve Parkinson gibi hastalıkların ilerideki tedavilerine zemin hazırladığı için büyük önem taşıyor.''

İlk olarak beyin kanamasına yol açan anevrizma genlerini keşfeden Prof. Günel ve ekibi bir ay önce beynin gelişiminde önemli olan diğer bir gen bulmuş ve bu gendeki bozukluklarin küçük beyin (mikrosefali) hastalığı yaptığını göstermişti.