Boy uzatma ameliyatı olmak isteyenlerin dikkatine...

Boy uzatma ameliyatı olmak isteyenlerin dikkatine...

4.09.2023 11:49:00
Güncellenme:
Boy uzatma ameliyatı olmak isteyenlerin dikkatine...

Boy uzatma ameliyatı olmak isteyenlerin dikkatine...

Günümüzde dış görünüş pek çok şeyin önüne geçerken, dış görünüşünden memnun olmayan insanların sayısı da giderek artıyor. 

Boy uzatma ameliyatı olmak isteyenlerin dikkatine...

Açıklama şöyle devam ediyor: 

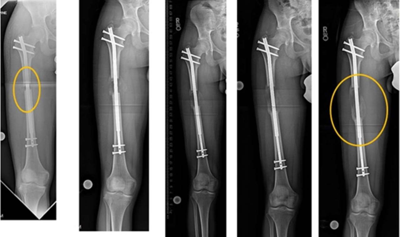
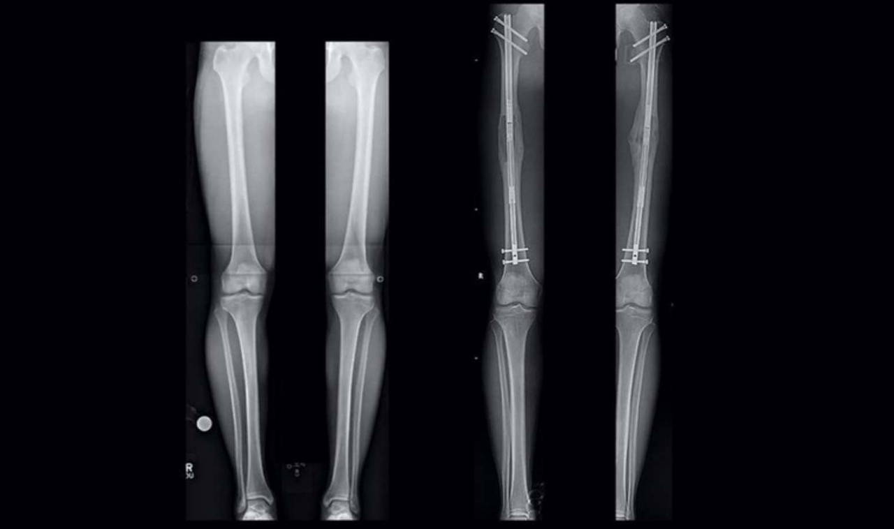
"Kemiğe, manyetik bir uzatma çubuğu ve pimler yerleştirilir. Bu sayede bacağın, belirli bir süre boyunca kontrollü olarak uzaması sağlanır..."

Boy uzatma ameliyatı olmak isteyenlerin dikkatine...

Peki, bu işlem tam olarak nasıl gerçekleşir?

"Uzatma cihazının üzerine yerleştirilen mıknatıs, cihazdaki dişliyi mekanik hale getirerek teleskopik çubuğu hareket ettirir. Mıknatıs, uzvun uzunluğunu artırmak için çubuktaki dişlileri döndürür."

Boy uzatma ameliyatı olmak isteyenlerin dikkatine...

"Rekonstrüktif cerrah, operasyona tabi olan bacaktaki küçük kesilerden, uyluk veya kaval kemiği üzerinde cerrahi bir osteomi (kırık) gerçekleştirir."

Evet, doğru okudunuz; operasyon kapsamında doktorunuzun belirli noktalardan 'bacaklarınızı kırması' gerekiyor. 

Boy uzatma ameliyatı olmak isteyenlerin dikkatine...

Ameliyattan sonraki iyileşme süreci ise uzuvları güçlendirmek için fizyoterapistlerle çalışmayı içerir.

Boy uzatma ameliyatı olmak isteyenlerin dikkatine...

Vücudun hemen her noktasına uygulanabilen estetik operasyonlarla görünümünü topyekun değiştirmek mümkün. 

Bu tarz operasyonların başında ise burun, göğüs estetiği, implant, dolgu, yağ aldırma ya da yağ enjekte etme operasyonları geliyor.

Boy uzatma ameliyatı olmak isteyenlerin dikkatine...

Bununla birlikte, günde iki kez manyetik cihazı kullanmaya devam etmeniz gerekir. Söz konusu cihaz, bacağa yerleştirilen çubuğu günde yaklaşık 0,5 mm döndürür. Bunun ne kadar süreceği, boyunuzun ne kadar uzamasını istediğinize bağlıdır.

Kulağa diş tellerinin sıkılması gibi geliyor, ancak uzmanlar kıyaslanmayacak derecede daha acılı olduğunu garanti ediyor...

Boy uzatma ameliyatı olmak isteyenlerin dikkatine...

Giderek yaygınlaşan, 'boy/bacak uzatma' ameliyatları ise işleri bir adım daha öteye taşımış gibi görünüyor. Çünkü var olan en sancılı ameliyatlardan biri olduğu biliniyor...

Boy uzatma ameliyatı olmak isteyenlerin dikkatine...

Boy uzatmak isteyenlerin, 'bacak uzatma ameliyatı' olması gerekiyor ve uzmanlar bunun, kelimenin tam manasıyla 'acımasız' bir operasyon olduğunu söylüyor.

Boy uzatma ameliyatı olmak isteyenlerin dikkatine...

Bu alanda uzmanlaşmış cerrahların çalıştığı Philadelphia'daki Penn Medicine kliniğinin web sitesinde operasyon şöyle tarif ediliyor...

İlgili Haberler