“Pilli bebek” Pelin’in 16 yılda tam 6 kez beyin pili değiştirildi

“Pilli bebek” Pelin’in 16 yılda tam 6 kez beyin pili değiştirildi

14.06.2020 09:31:00
Güncellenme:
“Pilli bebek” Pelin’in 16 yılda tam 6 kez beyin pili değiştirildi


“Pilli bebek” Pelin’in 16 yılda tam 6 kez beyin pili değiştirildi

Henüz 11 yaşındayken soğuk algınlığı ve sinüzite bağlı olarak beyninde apse gelişen Pelin Köroğlu (28), 2003 yılında iki kez beyin ameliyatı geçirdi. Apsesi temizlendi ama beynindeki hasar nedeniyle sol tarafında şiddetli titreme ve kasılmalar başladı. Sol eliyle bardak dahi tutamayan, uyurken kolunu bacaklarının arasına sıkıştırmak zorunda kalan Pelin’e ilaçlar da fayda etmeyince 2 yıl sonra beyin pili takıldı. O günden bu yana tam 6 kez pili değiştirilen Pelin Köroğlu, dördüncü pilini hatıra olarak saklıyor. Türkiye’de beyin pili takılan ilk çocuk hasta olan Pelin’e, ailesi ve arkadaşları da ‘pilli bebek’ diye hitap ediyor.

“Pilli bebek” Pelin’in 16 yılda tam 6 kez beyin pili değiştirildi


İlk beyin pilinin 4-5 yıl sonra yenisiyle değiştirilmesi gerektiği söylense de Pelin’in pili sadece bir yıl dayandı. Ertesi yıl yani 2006’da bir kez daha ameliyat masasına yattı ve beynindeki hasarlı bölgeden kaynaklanan titremeleri engelleyen elektrotların cilt altına takılan pili, küçük bir operasyonla değiştirildi. Daha sonra 4 kez daha pili değiştirilen Pelin’e en son değişim ameliyatı iki hafta önce yapıldı. Pelin, artık dayanamayıp dördüncü pilini doktorundan hatıra olarak istediğini söyleyerek “2 ila 4 yıl aralarla pil ameliyatları geçirdim. Şu anda da altıncı pilim takılı. Beşinci pil ameliyatımda doktoruma ‘Artık şu cihazı görmek istiyorum, tamam internetten falan görüyorum ama insanlar sorduğunda elimde gösterebileceğim bir şey olsun; çıkardıktan sonra hatıra olarak alabilir miyim?’ dedim. Kolye yaparım diye düşünüyordum ama bu zaten yeterince ağırlık yapıyor, ikinci bir ağırlığa gerek yok diye vazgeçtim. Sadece X-ray cihazlarından uzak duruyorum. Çünkü pilin kısa devre yapmasına yol açabiliyor. Onun dışında hayatımda herhangi bir kısıtlamaya yol açmıyor” diyerek sözlerini noktaladı.

“Pilli bebek” Pelin’in 16 yılda tam 6 kez beyin pili değiştirildi
“Pilli bebek” Pelin’in 16 yılda tam 6 kez beyin pili değiştirildi
“Pilli bebek” Pelin’in 16 yılda tam 6 kez beyin pili değiştirildi
“Pilli bebek” Pelin’in 16 yılda tam 6 kez beyin pili değiştirildi
“Pilli bebek” Pelin’in 16 yılda tam 6 kez beyin pili değiştirildi
“Pilli bebek” Pelin’in 16 yılda tam 6 kez beyin pili değiştirildi
“Pilli bebek” Pelin’in 16 yılda tam 6 kez beyin pili değiştirildi
“Pilli bebek” Pelin’in 16 yılda tam 6 kez beyin pili değiştirildi

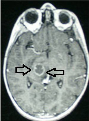
“Pelin bize ilk defa 16-17 sene önce geldi. Beyninin tam orta bölgesinde apse saptandı. Üst solunum yolunda, burunda ve sinüslerde olan bir enfeksiyon ilerlemiş ve beyninde apseye yol açmıştı. Tedavi için önce apseyi ince bir iğne ile boşalttık. Ameliyatın ardından antibiyotik tedavisiyle enfeksiyonu atlattı. Ama apsenin bulunduğu yerde yarattığı tahribat nedeniyle sol kolunda istemsiz hareketler olmaya başladı. Rubral tremor dediğimiz bu durum hem çocuklarda hem de erişkinlerde çok nadir görülen bir hastalık aslında. Yaklaşık 2 yıl ilaç tedavisi gördü. Ama fayda görmedi. O yaştaki bir çocukta beyin pili endikasyonu çok rastlanan bir şey değildi ancak başka seçeneğimiz yoktu. Diğer cerrahi yöntemler yaşı nedeniyle komplikasyon açısından riskli olabilirdi. 13 yaşındayken ilk beyin pilini taktık. Bu hastalarda pilden sürekli olarak beyne yerleştirilen elektrotlara bir elektrik akımı verilir. Dolayısıyla pilin belli bir  ömrü vardır. Bazı hastalarda 2-3 yıl, bazılarında 5-6 yıl gider. Ama pili mutlaka değiştirmek gerekir bu sürelerden sonra. Köprücük kemiğinin altından küçük bir ameliyat ile pil değişim işlemi yapılır.”

“Pilli bebek” Pelin’in 16 yılda tam 6 kez beyin pili değiştirildi


Pelin’in tedavisini 11 yaşından beri takip eden doktoru Koç Üniversitesi Hastanesi Beyin ve Sinir Cerrahisi Anabilim Dalı, Gamma Knife Radyocerrahisi ve Hareket Bozuklukları Uzmanı Prof. Dr. Selçuk Peker, Pelin’in çok özel bir hasta olduğunu söyleyerek şu bilgileri verdi:

“Pilli bebek” Pelin’in 16 yılda tam 6 kez beyin pili değiştirildi

Instagram’da “pillibebegindunyasi” sayfası ile hem gezi ve yemek paylaşımları hem de tedavisiyle ilgili yaşadıklarını binlerce takipçisi ile paylaşan Pelin Köroğlu, o günleri anlatarak “Eskiden çok iyi koşardım, bu süreçten sonra koşamadım mesela. Sol bacağımda da sekmeler oluyordu çünkü. 13 yaşında beyin pili takılan ilk çocuk hasta bendim Türkiye'de. Hem ben hem ailem açısından hayatımız çok farklılaşmıştı. Hep birbirimizi motive etmeye çalıştık hiçbir zaman hayata küsmedik. Hatta hastanede yatarken şiddetli titremelerim olduğunda hemen elimden tutup benimle halay çekmeye başlıyorlardı. Oyunlaştırmaya çalışıyorduk durumu. Göğüs kafesimin altına takılan küçücük bir cihazla hayata bağlandım diyebilirim. Kendisi ufacık ama hayatıma etkisi çok büyük” dedi.

“Pilli bebek” Pelin’in 16 yılda tam 6 kez beyin pili değiştirildi

Sabancı Üniversitesi’nde Toplumsal Duyarlılık Projesfi ekibinde çalışan ve aynı zamanda gezi ve yemek üzerine blogger’lık yapan 28 yaşındaki Pelin Köroğlu’nun hayatı, 9 Mart 2003’de aniden ateşlenmesiyle alt üst oldu. Henüz 11 yaşındaydı ve o kadar şiddetli bir baş ağrısı çekiyordu ki ailesi acile götürdü. Ertesi sabah beyninde apse oluştuğu anlaşıldı. Acilen ameliyata alındı ve apse boşaltıldı. Birkaç gün sonra ikinci kez ameliyat edildi. Soğuk algınlığı ve sinüzite bağlı gelişen beyin apsesini atlatsa da kısa bir süre sonra sol tarafında istemsiz kasılma ve aşırı titremeler baş gösterdi. Yaşı çok küçük olduğu için fizik tedavi ve ilaçlarla tedavi sağlanmaya çalışıldı. Ancak 2 yıl süren ilaç tedavisinden hiçbir fayda görmedi. Pelin henüz ilköğretim öğrencisiydi ve hastalığı yüzünden tahtada ders anlatamamaya, elinde defter kalem dahi tutamamaya başlamıştı. Hatta geceleri uyurken onunla beraber yatan annesini uyandırmamak için, sol kolunu bacaklarının arasına sıkıştırmak zorunda kalıyordu. Sonunda doktorları Pelin’e beyin pili takılmasına karar verdi. 2005’de henüz 13 yaşındayken Türkiye’de beyin pili takılan ilk çocuk hasta olarak hayatı bir kez daha değişti ve kibrit kutusu büyüklüğündeki minicik bir cihaz sayesinde eski haline kavuşabildi. Ancak “pil” macerası bununla da bitmedi. 

İlgili Konular: