
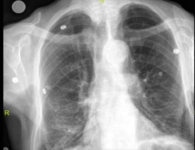
Alınan bilgiye göre, Elazığ Fethi Sekin Şehir Hastanesine öksürük ve nefes darlığı şikayetiyle başvuran 91 yaşındaki Keko Ateş'in röntgen filminde, göğsünde 10 santimetrelik çivi olduğu tespit edildi. Ateş'in soluk borusundan sağ akciğerine kaçmış olan çivi "Rijit bronkoskopi" işlemiyle çıkarıldı.

Elazığ Fethi Sekin Şehir Hastanesi'nde görevli doktor Murat Kılıç, yaptığı açıklamada, soluk borusu içerisindeki 10 santimetrelik çivinin hızlı şekilde müdahale edilmediği takdirde hastanın hayatını tehlikeye attığını dile getirerek, şunları söyledi:
"Larenks kanseri nedeniyle 24 yıl önce larenksi (gırtlak) alınan ve boynundan nefes borusuna açılan açıklık aracılığıyla nefes alıp verebilen hastanın, nefes borusundaki bu açıklığı temizlemek amacıyla kullandığı 10 santimlik çivi, soluk borusuna kaçmış. Bunun üzerine hastamızı acil olarak ameliyata aldık. Uyguladığımız işlemi ile nefes borusundaki 10 santimetrelik çiviyi başarılı bir şekilde çıkardık. Hastamızı ameliyat sonrası bir süre serviste takip ettikten sonra sağlığına kavuşmuş bir şekilde aynı gün taburcu ettik."
Nadirde olsa karşılaştıkları bu tür hastalara hızlı müdahale etmenin önemine işaret eden Kılıç, bu tür hastalarının yabancı cisimlerle soluk borusuna müdahale etmemesi gerektiğini sözlerine ekledi.

