
Pandemi nedeniyle milyonlarca kişi ‘önemli olmadığını’ düşündüğü bazı sağlık sorunlarını ertelemeyi seçti. Ancak bazen vücudumuzun verdiği sinyalleri göz ardı etmek, hayatımızı riske atabilecek sorunlarla karşılaşmamıza yol açabilir. Bu nedenle evde kendi vücudunuzun verdiği bazı önemli belirtileri kontrol ederek yapacağınız check-up kurtarıcı olabilir.
İç Hastalıkları Uzmanı Dr. Lütfiye Derya İnal, evde yapılacak check-up’la kişinin kendi bedenini tanımasını, farkındalığının artmasını ve vücudundaki değişimlerin erken dönemde farkına varmasının sağlanabileceğini söyledi. Uzm. Dr. Lütfiye Derya İnal, kendimize sorduğumuz 9 soruda bedenimizde hangi hastalığın olduğunu nasıl tanıyabileceğimiz konusunda bilgilendirmede bulundu.
KOLESTEROL SEVİYESİNİ GÖZLERDEN ANLAYABİLİR MİYİZ?
Ksantelazma, göz çevresinde ve göz kapaklarında gelişen sarı yumuşak plaklardır. Görüldüğünde kolesterol seviyelerine bakmak gerekir; ancak her kolesterol yüksekliğinde görülmeyeceği gibi kolesterolü normal olan kişilerde de görülebilmektedir. Bu nedenle varlığı kesin bir bilgi sağlamaz.
İDRAR RENGİ NEYİN HABERCİSİ?
Açık renkli idrar, yeterli miktarda sıvı tükettiğiniz anlamına gelir ancak mümkün olduğunca sıvı tüketiminin çoğunluğu su olmalıdır. Koyu renkli idrar, az sıvı tüketiminin göstergesi olmakla beraber idrarda yanma, kasık ağrısı ve koku da eşlik ediyorsa, idrar yolu enfeksiyonu göstergesi olabilir. Ancak unutmayın ki antibiyotik ve vitamin kullanımları da idrar rengini ve kokusunu değiştirebilir. Çay rengindeki idrar kanamanın göstergesidir. Ağrı eşlik ediyorsa taş veya kum döküyor olabilirsiniz. Ağrısız kanama varsa o bölgenin tümörlerine işaret eder, kesinlikle ihmal edilmemelidir. Çok miktarda pancar yerseniz kanama olmadan da idrar renginiz pembeleşebilir. İdrarda köpürme protein kaçağının olduğu böbrek hastalıklarının göstergesidir. Şeker ve tansiyon hastalığı olanlarda idrarda köpürme başlamışsa böbrek harabiyetine bağlı protein kaçağı olabilir.
YETERLİ MİKTARDA SIVI TÜKETTİĞİMİZİ NASIL ANLARIZ?
Tükürük salgınızda azalma yoksa, diliniz kuru değilse, derinizi iki parmağınız arasına sıkıp bıraktığınızda eski halini alıyorsa, koltuk altlarınız nemliyse ve idrar renginiz açık renkte ise yeterli sıvı tüketiyorsunuz demektir.

TIRNAK RENGİ DEĞİŞİKLİĞİ NE ANLAMA GELİR?
Eğer tırnaklarda sararma ile beraber tırnak kalınlaşması varsa en çok tırnak mantarı karşımıza çıkar. Tırnakta siyaha yakın renk değişikliği olursa ‘malign melanom’ denilen ciddi bir kanser türünün belirtisi olabilir. Eğer çabuk kırılma, incelme gibi tırnak yapısı ile ilgili sorunlar yaşıyorsanız tiroit hastalıkları, B12 vitamini, demir, çinko ve biyotin eksiklikleri olabilir.
CİLDİMİZDEKİ RENK DEĞİŞİKLİKLERİ NEYİ GÖSTERİR?
Cildimizdeki yer yer beyazlaşmalar vitiligo göstergesidir. Vitiligo, deride pigment kaybına bağlı olarak açık renkli alanların oluştuğu bir tür deri hastalığıdır. Göz akından başlayıp baş ve gövdeye yayılan sararma varsa karaciğer ve safra yollarındaki tıkanma hastalıkları akla gelmelidir. Mavi- mor cilt rengi ise kalp damar hastalıkları, kalp yetmezliği ve KOAH gibi akciğer hastalıklarında görülür.

TİROİT HASTALIKLARI NASIL ANLAŞILIR?
Hipotiroidi, kanda tiroid hormonunun az miktarda bulunması durumudur. Hipotiroidi durumunda metabolizma yavaşlar, halsizlik, depresif ruh hali, kilo alma, saçlarda kuruluk, yüzde ödem, ses kalınlaşması, üşüme, soğuğa dayanıklılıkta azalma, kabızlık, kalpte ritim yavaşlaması, uzun süren kontrolsüz durumlarda ise kalp yetmezliği gelişebilir. Hipertiroidide ise metabolizma hızlıdır. Çabuk yorulma, saçlarda incelme dökülme, gözlerde irileşme, iştah artışına rağmen kilo verme, terleme, sıcağa tahammülsüzlük, sinirlilik, çarpıntı ve ishal meydana gelebilir.
BACAKLARDA ŞİŞLİKLERİN SEBEBİ NE?
İlk başta mutlaka günlük aldığınız tuz miktarını gözden geçirin. Tuza dikkat etmenize rağmen bacaklarınızda şişlik varsa, böbrek ve kalp yetmezliklerinin göstergesi olabilir. Bacaklardaki ödem gündüz az miktarda, ayakta durdukça ve günün ilerleyen saatlerinde artıyorsa venöz yetmezlik yani bacaklardaki toplayıcı damar kapaklarındaki yetmezlik durumu olabilir. Tek bacakta şişlik ve baldırlarda ağrı varsa ‘derin ven trombozu’ denilen damarlardaki tıkanıklık durumu olabilir, acilen hekime başvurmalısınız.
BOYUNDA ELE GELEN KİTLELER NE ANLAMA GELİR?
Çene altında, boynun yanlarında, kulak arkasında ağrılı düzgün yüzeyli kitleler elinize geliyorsa muhtemel lenf bezidir. Lenf bezinin şiştiği bölgede iltihabi bir durum söz konusudur. Sivilceler, cilt yanıkları, kıl dönmeleri, diş apseleri, üst solunum yolu enfeksiyonları olduğunda mikro-organizmaların karşısına ilk çıkan lenf bezleri savunma kalkanı oluşturup şişer. İltihabi durum gerileyince de eski haline gelir. Ağrısız, hızlı büyüme gösteren ve yüzeyi düzensiz kitleler en sevmediğimiz kitle türüdür. Kötü huylu tümörlere işaret eder, kesinlikle ihmal edilmemelidir. Adem elmasının hemen altında tiroit bezimiz bulunur. Yutkunmakla hareket eden kitle saptıyorsanız, tiroitte nodül olabilir.
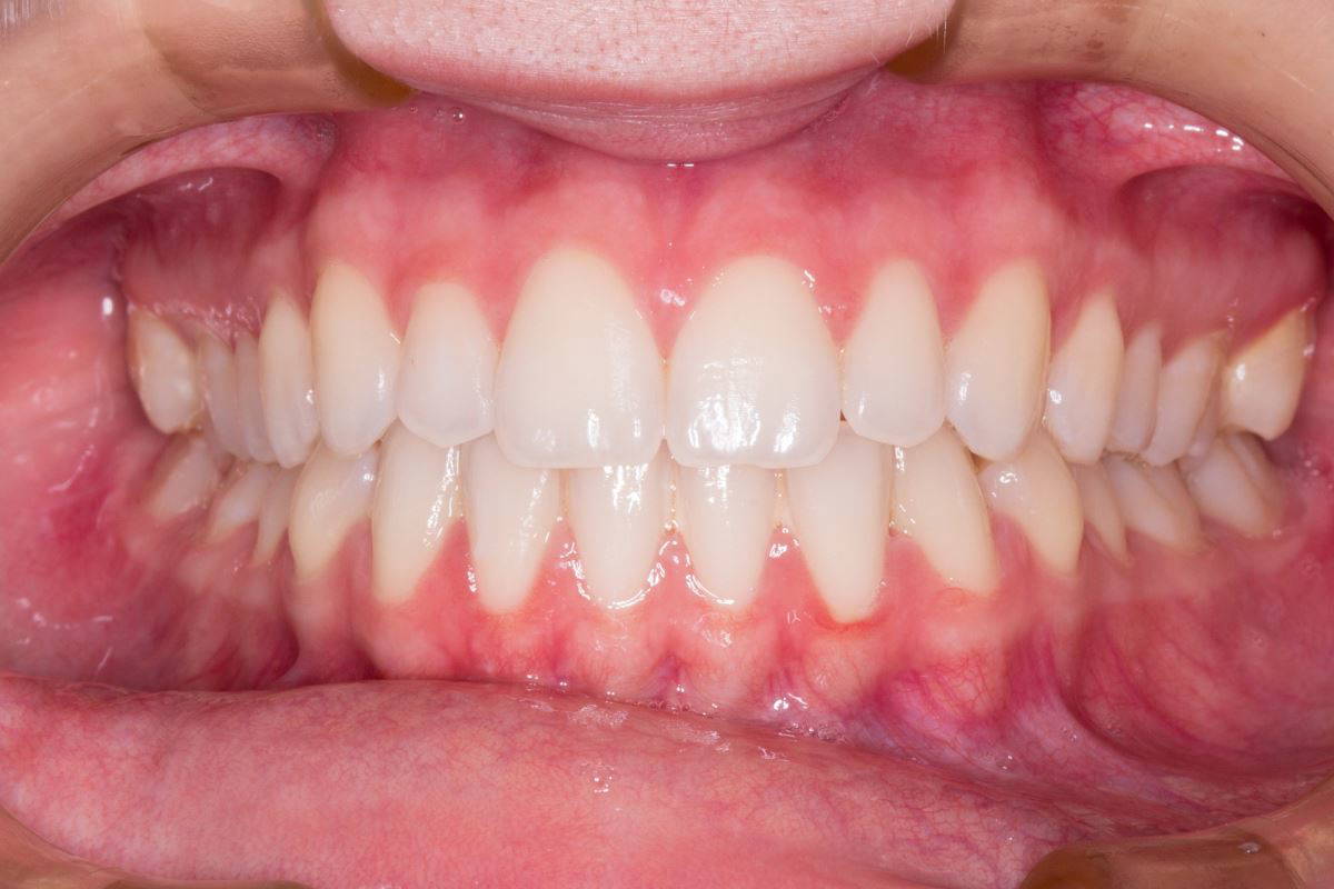
DİŞ VE DİŞ ETİ SORUNLARI BAŞKA HASTALIKLARIN GÖSTERGESİ OLABİLİR Mİ?

Dişeti kanamaları en sık diş eti hastalıklarına bağlı görülmektedir. Kandaki pıhtılaşmanın zayıfladığı kan hastalıklarında da tekrarlayan dişeti kanamaları olabilir Kan şekerindeki kontrolsüz yükseklikler diş eti sağlığını bozan önemli bir durumdur. Sjögren sendromu bir bağ doku hastalığıdır ve tükürük bezlerinin aktivitesini bozar, tükürük salgısında azalma yapar. Dolayısıyla diş çürükleri ve diş eti hastalıkları daha sık görülür. Ağız kokusu yakınmaları pek çok insanın mustarip olduğu bir durumdur. Diş çürükleri, apseler, tartarlar ağız kokusunun en sık nedeni olmakla beraber midede gastrit varlığında da ağız kokusu olabilmektedir. Eğer diş problemleri yoksa mideye yönelmek gerekir.