İlk defa ameliyatsız yöntemle toplardamarda oluşan pıhtı çıkartıldı

İlk defa ameliyatsız yöntemle toplardamarda oluşan pıhtı çıkartıldı

7.04.2021 10:22:00
Güncellenme:
İHA
Takip Et:
İlk defa ameliyatsız yöntemle toplardamarda oluşan pıhtı çıkartıldı

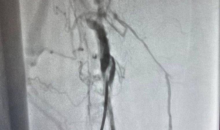
Kastamonu Eğitim ve Araştırma Hastanesinde ilk defa ameliyat yapılmadan toplardamarda oluşan pıhtı çıkartıldı.

Kastamonu Eğitim ve Araştırma Hastanesi'ne bacak toplardamarları taze pıhtılarla dolu, ileri derecede bacağının şiş ve yürüyemez bir şekilde Kalp Damar Cerrahisi Bölümü gelen 77 yaşındaki Hakan Ural, Kalp Damar Cerrahisi Öğretim Üyesi Op. Dr. Burak Tamtekin tarafından Kastamonu'da ilk defa uygulanan ameliyatsız bir yöntemle toplardamarda oluşan pıhtı çıkarma işlemi yapıldı.

KEAH Kalp Damar Cerrahisi Bölümü A.B.D. Öğretim Üyesi Dr. Burak Tamtekin ve ekibi, 77 yaşında yaşlı bir hastanın bacakta oluşan pıhtının önce kalbe, daha sonra akciğere atması sonucu hayati tehlikesi oluşabilecek hastaya, herhangi bir kesi yapılmadan, narkoz verilmeden, anjiyo yöntemi ile risksiz bir şekilde, toplardamarda oluşan pıhtı çıkarma işlemi yaptı.

NARKOZ VERİLMEDEN ANJİYO YÖNTEMİ

Ameliyatsız yöntemle ilk kez böyle bir operasyon yapıldığını söyleyen Tamtekin, “İleri derecede bacağının şiş ve yürüyemez bir halde hastanemize gelen 77 yaşındaki Hakan amcanın bacağının şiş ve yürüyemez bir durumda olduğunu gördük. Yaptığımız ilk muayenesinde bacak toplardamarlarında oluşan pıhtıları gördük. Bacakta oluşan pıhtıları çıkarmak için öncelikle karın içine bir filtre yerleştirildik. Daha sonra pıhtı dolu damarın içine girip, bacakta biriken pıhtıları özel bir aygıtla parçalayıp dışarı çıkardık. Narkoz verilmeden anjiyo yöntemiyle yaptığımız bu başarılı operasyonla akciğere pıhtı atmasını da bu uyguladığımız yöntemle önlenmiş olduk" dedi.

"Kastamonu'da ilk kez yapılan bir buçuk saat süren anjiyo uygulaması sırasında Hakan amcayla hoş sohbette bulunduk" diyen Tamtekin, "Ekip olarak biz işimizi yaparken, oda bize Kastamonu'nun güzelliklerini anlattı. Anjiyo sonrası Hakan amcamızı servise aldık. Bacaktaki şişi inemeye başladı. Operasyondan 1-2 gün içinde rahatça kalkıp kendisi yürüyebilir hale geldi. Yürüyemez durumda geldiği hastanemizden, sağlığına kavuşup, bizlere dua ederek, hastanemizden yürüyerek taburcu olan Hakan amcamıza Kalp Damar Cerrahisi ekibi olarak, sağlıklı ömürler dileyerek, hastanemizden taburcu ettik. Bu tür ameliyatlar Kastamonu Eğitim ve Araştırma Hastanemizde ileri merkezlere gidilmeden yapıldığını Kastamonu'nun kadirşinas insanlarına bu vesileyle ayrıca hatırlatmak isteriz” ifadelerini kullandı.