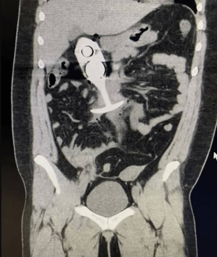
İngiltere'de 22 yaşında bir kadın, MR taramasına vücudunda bulunan bir seks oyuncağıyla girdi. Tarama sırasında manyetik alan tarafından yukarı çekilmesiyle kadın ciddi şekilde yaralandı. Olay, tarama öncesinde oyuncakta metal bulunduğunu bilmediği için yaşandı. Yüzde 100 silikon olduğunu düşündüğü seks oyuncağı makatında taramaya giren genç kadın, oyuncağın çekirdeğinde metal bulunduğu anlaşılınca büyük tehlike yaşadı.
KAZA VE SONRASI
Taramadan sonra, hasta şiddetli ağrı hissetti ve bilincini kaybedecek kadar kötüleşti. Oyuncak, hastanın vücudunun alt kısmından yukarı doğru hareket ederek ciddi iç yaralanmalara neden oldu. Sağlık ekipleri tarafından hemen hastaneye kaldırılan kadın, ciddi yaralar almasına karşın hayati tehlikeyi atlattı.
Bir sağlık çalışanı, olayın ardından şu ifadeleri kullandı:
“Tarama sırasında hasta önce ağrı hissettiğini söyledi, ardından masadan çıkarıldığında çığlık atmaya başladı. Mide bulantısı, baş dönmesi ve bayılma hissi yaşıyordu. Ambulans çağrılarak acil bir şekilde hastaneye sevk edildi.”

MR MIKNATISLARININ GÜCÜ VE TEHLİKELERİ
MR cihazlarında kullanılan mıknatıslar genellikle 0.5 ila 3 Tesla arasında değişen bir manyetik alana sahip. Bu, sıradan bir buzdolabı mıknatısından (0.001 Tesla) binlerce kat daha güçlü. Metal nesneler, bu manyetik alan içinde hızla çekilebiliyor ve insan vücudunda ciddi yaralanmalara yol açabiliyor.
Metalik nesnelerin MR taraması sırasında çekilmesiyle yaşanan yaralanmalar arasında damar, sinir veya organ hasarı bulunabilir. Uzmanlar, MR cihazlarının metal içeren her türlü eşyaya karşı hassas olduğunu ve bu tür vakaların önlenmesi gerektiğini vurguluyor.
TIBBİ ÖNERİLER VE ÖNLEMLER
Birleşik Krallık Ulusal Sağlık Servisi (NHS), MR taramaları öncesinde hastaların metal içeren her türlü eşyayı çıkarmaları gerektiğini hatırlatıyor. NHS ayrıca, vücutta metal implantlar veya cihazlar bulunan kişilerin bu durumu mutlaka tıbbi ekiplere bildirmesi gerektiğini belirtiyor.
Lancaster Üniversitesi’nden Prof. Adam Taylor, oyuncakta bulunan metal çekirdeğin yüksek hızda hareket ettiğini, ancak “ses hızında” bir çekim yaşanmasının olası olmadığını belirtti. Taylor, “Metal nesneler, MR cihazının manyetik alanına bağlı olarak hızla hareket edebilir. Ancak, bu durum oyuncak gibi daha ağır nesneler için sınırlıdır” dedi.
Bu olay, MR taramalarında metal içeren eşyaların yaratabileceği tehlikelere karşı bir uyarı niteliği taşıyor. Uzmanlar, benzer kazaların önlenmesi için tarama öncesi daha dikkatli olunması gerektiğini vurguluyor.
