Başınız ağrıyorsa dikkat! Habercisi olabilir

Başınız ağrıyorsa dikkat! Habercisi olabilir

8.01.2020 15:31:00
Güncellenme:
Başınız ağrıyorsa dikkat! Habercisi olabilir


Başınız ağrıyorsa dikkat! Habercisi olabilir
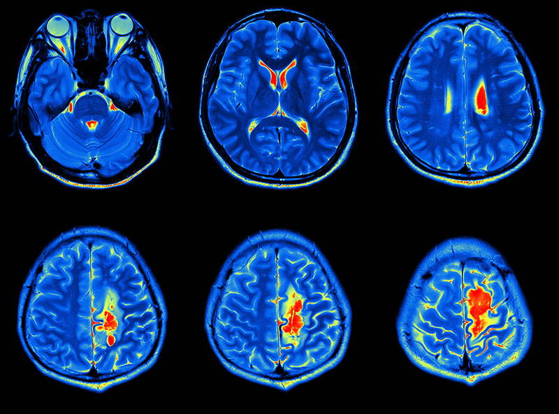
İstanbul Okan Üniversitesi Hastanesi Beyin ve Sinir Cerrahisi Uzmanı Doç. Dr. Ahmet Öğrenci, beyin tümörlerinin tanı ve tedavisi hakkında bilgilendirdi. Öğrenci'nin açıklamaları şöyle; Beyin kafatası içinde yer alan yumuşak kıvamda bir organdır. Birçok koordineli ve rastgele hareketin merkezidir. Bilinç ve duygusal yaşamın da merkezindedir. Hayati fonksiyonlarımızı kontrol eder. Bu nedenle, hayatımızın merkezindedir. Beyinle ilgili en ufak bir hastalık şüphesi, hastayı ciddi moral bozukluğuna ve depresyona itebilir. Ancak gerçek, öyle değildir. Beyinde yer alan her hastalık, kitle, kist her zaman ciddi sonuçlarla sonuçlanmaz.
Başınız ağrıyorsa dikkat! Habercisi olabilir
Benign (İyi huylu) Tümörler Aslında bu tabiri yavaş büyümelerinden, beyin dokusundan kolay ayrılabilmelerinden, tedavilerle sonuçlarının iyi olmalarından ve genellikle beyin dokusu dışından gelişmiş olmalarından almışlardır. Tabii ki en önemli tanıyı patoloji sonucu vermektedir. Ancak genellikle meningiomalar, hipofiz adenomları, kraniofaringiomalar, dermoid ve epidermoid tümörler, kolloid kist, nörinomlar bu gruba girmektedirler. Cerrahi olarak tedavi edilen ve tedavilerinde başarı şansı çok yüksek olan bu kitlelerde genellikle ameliyat sonrasında ek bir tedavi gereksinimi olmamaktadır. İyi huylu kistler genellikle içi sıvı dolu büyümeyen ya da çok yavaş büyüyen iyi huylu yer kaplayan lezyonlardır. Kistlerde eğer bulunduğu yerde beyindeki su dolanımını bozan bir yerleşim yoksa takip etmek ve büyüme durumunda müdahale etmek esastır. Kistin çıkarılması, kistin boşaltılıp takip edilmesi, kistin bir sistem takılarak sürekli boşaltılması tedavi seçenekleri arasındadır.
Başınız ağrıyorsa dikkat! Habercisi olabilir
Vakit kaybetmemek gerekiyor! Genellikle şikayetler çok hızlı gelişmekte ve şikayetlerin bir çoğu beraber olmaktadır. Hastalara tanı konulduğu anda, fazla zaman kaybetmeden tedaviye başlanmalıdır. Bu tedavilerin başında da cerrahi tedavi gelmektedir. Çünkü buradaki asıl amaç; tümörün yarattığı yükü ortadan kaldırmak ve beyini rahatlatmaktır. Sadece cerrahi tedavi ile yetinilmemektedir. Hastada patoloji sonucuna göre genellikle ek tedavilere ihtiyaç duyulmaktadır. Bunlar; streotaktik radyoterapi, konvansiyonel radyoterapi, kemoterapi olabilmektedir. Süreçte hastayı yakından takip etmek gerekmektedir. Hastaları çok disipliner şekilde (onkoloji uzmanı, radyoloji uzmanı ve beyin cerrahı beraber) takip etmek gerekir. Metastazlar: Vücudun başka bir yerindeki tümörün beyine yayılması ile beyinde kötü huylu yayılım ve bası yaratan tümörlere, beyin metastazı denir. Genellikle bunlar; akciğer, meme ve bağırsak sisteminden olmaktadırlar. Böbrek, cilt ve prostat kaynaklı da olabilmektedirler. Hızlı yayılımlıdırlar. Hastalarda birden fazla yerde yayılım görülebilir. Tedaviyi belirleyen noktalardan bir tanesi budur. Eğer çok fazla ve beynin derin noktalarına yayılım varsa daha çok onkolojik (radyoterapi, kemoterapi) tedaviler uygulanır. Ancak; tek yayılım ya da çıkarılmasında hastada ek problem yaratmayacak kitleler görülürse, cerrahi olarak tedavi etmek gerekir. Bu sırada yayılımın geldiği organdaki kitlenin de tedavisini eş zamanlı programlamak gerekir. Diğer hekimlerle konsulte edilerek, aciliyet durumuna göre tedaviyi şekillendirmek gerekecektir. Operasyon sonrasında da hasta yakından takip edilmelidir.
Başınız ağrıyorsa dikkat! Habercisi olabilir
Malign (Kötü huylu) Tümörler Kabaca 2 başlık altında incelenirse; Glial tümörler: Beyin dokusu içinden gelişen tümörlerdir. Ya beyindeki sinir hücrelerinden ya da beyindeki sinir hücreleri arasındaki destek hücrelerinden çıkmaktadırlar. Beynin en sık görülen, tümörleridir. Aynı zamanda beynin en sık görülen malign tümörleridir. Hızlı büyüme ve beyine yayılım özelliğine sahiptirler. Kontrolsüz çoğalabilmektedirler. Dereceleri vardır. Derecelerini radyolojik olarak tahmin etmek mümkün olsa da kesin tanıyı ve sonucu patoloji vermektedir.
Başınız ağrıyorsa dikkat! Habercisi olabilir
En yaygın belirti baş ağrısı! Beyinde yer kaplayan hastalıklara baktığımızda bunların benign (iyi), malign (kötü) karakterlerde davranış gösterebildiğini söyleyebiliriz. Hastalar kitlenin bulunduğu yer ile ilgili fonksiyonel kayıplarla ve genel şikayetler ile doktora başvururlar. Hastalarda problemin başlamasının ana sebebi; kapalı bir alanda bulunan beyinde yani kafa içinde basıncın artmasıdır. En sık başvuru sebebi baş ağrısıdır. Sonrasında bulantı-kusma, şuur dalgalanmaları, uyku hali, baş dönmesi ve nöbet geçirme, vücudun farklı bölgelerinde kuvvetsizlikler, iştahsızlık, unutkanlık gelmektedir. Ancak şikayetler çok daha çeşitlilik gösterebilir. Hastalarda kitlenin bulunduğu yerin farklılığına göre dengesizlik, çift görme, görememe, yazılanı okuyamama, konuşamama, konuşulanı anlamama, yeni kelimeler ile konuşma, işitme bozuklukları, kulaklarda çınlama, kişilik değişiklikleri görülebilir. Bazılarında ise kafada şişlik, gözde dışarı doğru şişme, yüz felci gibi belirtiler olabilmektedir.
İlgili Konular: