Gri madde nedir? Covid-19 geçirenlerde azaldığı tespit edildi

Gri madde nedir? Covid-19 geçirenlerde azaldığı tespit edildi

8.03.2022 15:21:00
Güncellenme:
Gri madde nedir? Covid-19 geçirenlerde azaldığı tespit edildi


Gri madde nedir? Covid-19 geçirenlerde azaldığı tespit edildi


Gri madde nedir? Covid-19 geçirenlerde azaldığı tespit edildi


Gri madde nedir? Covid-19 geçirenlerde azaldığı tespit edildi


Gri madde nedir? Covid-19 geçirenlerde azaldığı tespit edildi


Gri madde nedir? Covid-19 geçirenlerde azaldığı tespit edildi


Gri madde nedir? Covid-19 geçirenlerde azaldığı tespit edildi


Gri madde nedir? Covid-19 geçirenlerde azaldığı tespit edildi

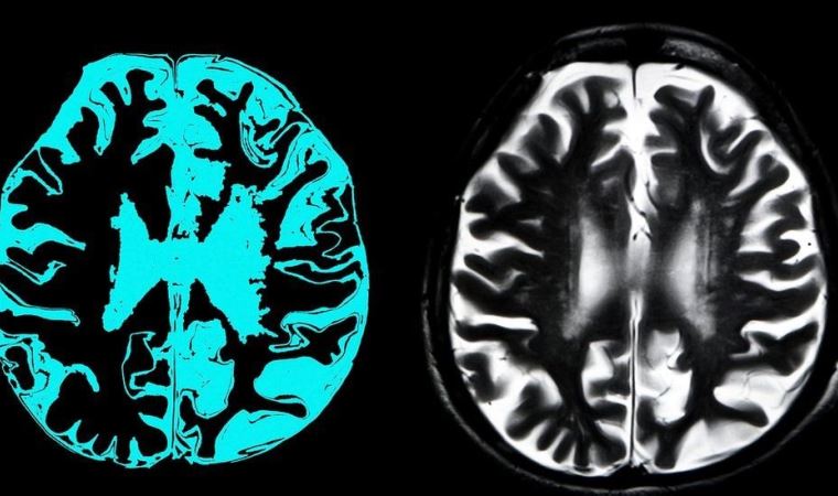
İngiltere'de yapılan araştırmalarda Covid-19 geçiren kişilerin beyninde küçülme görüldüğü saptandı. Bu doğrultuda beynin küçülmesi yani gri maddenin azalması doğrudan kişinin IQ seviyesiyle de doğru orantılı. 

GRİ MADDE YA DA GRİ CEVHER NEDİR? 

Beyindeki gri madde, kılcal damarların oluşturduğı merkezi sinir sisteminin önemli bir bileşenidir. Merkezi sinir sisteminde beyaz ve gri olmak üzere iki farklı madde bulunmaktadır. Sinir ağlarından oluşan beyaz made, beyinde bilgi aktarımı yapıyor.

Gri madde ise hipokampusta bulunuyor. Beynin kas dokusunun kontrölü ile ilgili bölgelerini ve görme, duyma, hafıza, duygular, konuşma, karar verme ve kendi kendini kontrol etme gibi bilişsel yetenekler ile duygusal algıları içeriyor. 

Bilim insanları IQ ile doğrudan ilişkili gri maddenin son derece önemli olduğunu, insanların bilişsel yeteneklerinin tamamen buna bağlı olduğunu dile getiriyor. Örneğin düşük gri madde oranı, doğrudan zihinsel gerilik, demans ve alzheimer hastalığı ile ilişkilendiriliyor.

Yapılan araştırmalarda, yüksek IQ seviyesine sahip insanların beyninde yoğun miktarda gri madde bulunuyor ve işin en eğlenceli tarafı, bunu hayatımız boyunca artırmak mümkün. 

GRİ MADDENİN ARTIRILMASI İÇİN YAPILMASI GEREKEN AKTİVİTELER NELERDİR? 

Bilim insanları, beyindeki gri maddenin artırılabileceğini, ilerleyen yaşlarda ise bu sayının çeşitli yöntemlerle korunabileceğini belirtiyor. İşte o yöntemlerden bazıları;

Gri madde nedir? Covid-19 geçirenlerde azaldığı tespit edildi

KAHVE TÜKETİMİ

Geçtiğimiz günlerde yapılan bir araştırmada, kafeinin beyindeki gri maddeyi azalttığı ortaya çıktı. Araştırmayı yapan bilim insanları, kafeinin bilişsel olarak bir zarar vermediğini ancak deney yaptıkları insanların MR taramalarında gri maddenin azaldığını gördüklerini dile getirdi. 

Bilim insanları kafein tüketimi sonlandırıldıktan sonra gri maddenin hızlı bir şekilde kendini toparladığını belirtiyor. 

HAFIZA ZORLAYICI AKTİVİTELER

Son derece basit olan bu oyunda, hem sizin hem de oyunu oynadığınız kişilerin eskiden olan ve hafızanızda yer edinebilecek bir şeyler hatırlamanız gerekiyor. Örneğin kız kardeşinizin mezuniyet kutlamasında ne giydiğini hatırlamaya çalışmak, ondan da sizin askere gittiğiniz yılı hatırlamasını istemek hem eğlenceli, hem de hafızanız için son derece yararlı bir aktivite olacaktır.

Gri madde nedir? Covid-19 geçirenlerde azaldığı tespit edildi

UYKU DÜZENİ

Uyku, beyin için gerçekten de önemli bir süreç ve beyin, uyku sırasında gerçekten de akıl almaz işlemler yaparak beynimizin gelişmesine ve hafızamızın tazelenmesine yol açıyor.

Beynimize yardımcı olabilmek için yapabileceğimiz en basit ve en yararlı şey, düzenli bir uyku döngüsü oluşturmak olacaktır. Bu konuda özellikle dikkat etmek gereken şey, her akşam aynı saatte uyumaya, her sabah da aynı saatte uyanmaya çalışmak olacaktır. 

Yetişkin insanlar için günlük ihtiyacımız olan uyku süresi 7-9 saatten oluşuyor. Vücudun ihtiyacı olandan azını ya da fazlasını vermeden sağlıklı bir uyku düzeni oluşturmak, gri maddenin de artmasına olanak sağlayacaktır. 

Gri madde nedir? Covid-19 geçirenlerde azaldığı tespit edildi

HER GÜN YENİ ŞEYLER ÖĞRENMEK 

İngiltere’de yapılan bir araştırmada, All London Knowledge sınavını geçmeyi başarmış taksicilerin hipokampuslarının normal insanlardan daha büyük olduğu ortaya çıktı. Sebebi ise 2 - 4 yıl boyunca sürekli bir şeyler öğrenmek, ezberlemek ve daha sonra taksici olduklarında öğrendikleri şeyleri uygulamaya koymak. 

Bilim insanları, gri maddenin çoğalabilmesi için insanların sürekli bir şeyler öğrenmesi, daha sonrasında bunu uygulaması gerektiğini belirtiyor. Örneğin profesyonel anlamda olmasa da hobi olarak yeni bir dil öğrenmeye çalışabilir, kelime ezberi yaparak tıpkı daha önce de belirttiğimiz gibi hafızanızı zorlayabilirsiniz. Her gün düzenli olarak gazete, dergi, kitap ve benzeri bir şeyler okumak, ilgi duyduğunuz bir alanda yeni bir şeyler öğrenmek beyninizdeki gri maddenin artmasında önemli ölçüde rol oynayacaktır.

Gri madde nedir? Covid-19 geçirenlerde azaldığı tespit edildi

GIDA TÜKETİMİ

Gri ve beyaz maddenin artmasına ve korunmasına yardımcı olan en yararlı besin, zeytinyağı olarak görülüyor. Bu yüzden de bilim insanları ve araştırmacılar, insanların mutlaka her öğünde zeytinyağı tüketmesi gerektiğini belirtiyor. Özellikle akşam yemeklerinde zeytinyağının hiçbir şekilde atlatılmaması gerektiğini belirten uzmanlar, tadını sevmeyenler için alternatif olarak avokado ve hindistan cevizi yağı öneriyor. 

Omega-3 açısından zengin besinler, organik fındık ezmesi, keten, chia ve kenevir tohumu beyindeki sadece gri maddeyi değil, aynı zamanda beyaz maddenin de artmasına olanak sağlıyor. 

Uzmanlar, kahvaltıda ne yediğinize değil, nasıl yediğinize de dikkat etmeniz gerektiğini belirtiyor. Yapılan araştırmalara göre yanında bir fincan çay ile yavaş yavaş yapılan kahvaltı, aceleye getirilen kahvaltıya göre beynin çok daha iyi çalışmasına yol açıyor. 

Gri madde nedir? Covid-19 geçirenlerde azaldığı tespit edildi

MEDİTASYON

Meditasyon, insan zihnini sakinleştirmek ve insana kendini iyi hissettirmekle kalmıyor, aynı zamanda gri maddenin büyük ölçüde artmasına olanak sağlıyor. 

Meditasyon ve gri madde ile arasındaki bağlantı üzerine yapılan bir araştırmada, 8 hafta boyunca günde 27 dakika meditasyon yapan insanların beyninde gri maddenin ciddi oranlarda artmasına yol açtığı gözlemlendi. 

Yayınlanan makalede 8 hafta boyunca meditasyon yapan kişilerin kendilerine karşı daha iyi ve şefkatli davrandıkları, tüm bunlarla birlikte öz farkındalığın da gri maddenin artmasına yol açan bazı duygulardan olduğu belirtiliyor. Yani duygusal olarak kendimize karşı iyi, şefkatli ve bilinçli davranmak da gri maddenin artmasında yardımcı olacak etkenler arasında bulunuyor.

EGZERSİZ

Düzenli bir şekilde egzersiz yapmak, hayatın her alanında olduğu gibi gri maddeyi artırma konusunda da son derece önem taşıyor. Yapılan bilimsel araştırmalara göre düzenli egzersiz beyindeki gri maddenin artmasına yardımcı oluyor. 

Almanya’da yaklaşık 2000 kişi üzerinde yapılan bir araştırmada haftada en az 150 dakika koşan insanların beyinlerinde gri madde sayısının arttığı gözlemlendi. Düzenli egzersiz yapan 60 yaş üstü insanların beyninde ise gri maddenin son derece başarılı bir şekilde korunduğu ortaya çıktı. 

Bilim insanları, alzheimer ve demans hastalıklarının beyindeki gri madde ile bağlantılı olduğunu, gri madde ne kadar çok olursa bu hastalıkların o kadar zor ortaya çıkacağını belirtiyor.

İlgili Konular:

İlgili Haberler