CHP Genel Başkanı Özgür Özel’in evinde merdivenden düşüp ayağından yaralanmasının ardından çeşitli iddialar ortaya atıldı.
İddialara ilişkin konuşan Özel, "Gelsinler röntgeni inceleyelim" demişti.

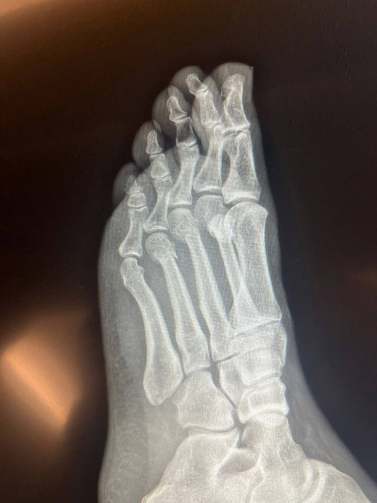
RÖNTGEN FİLMLERİNİ PAYLAŞTI
Röntgen filmlerini paylaşan CHP lideri, iddialara ilişkin olarak “FETÖ’cü hesapların yaydığı bir yalan, daha sonra üzerine eklenerek, boyutlandırılarak kasıtlı olarak devam ettirildi” dedi.

'AHLAK DIŞI KAMPANYA'
Sözcü'den Saygı Öztürk'e konuşan Özgür Özel, şunları söyledi:
“Herkesin başına gelebilecek, geçirdiğim bir ev kazası üzerinden, hepimizin kimler olduğunu iyi bildiği bir grubun, sosyal medyadan akıl ve ahlak dışı bir kampanya başlattığını ve farklı pek çok kişinin bu gündemin peşine takıldığını gerçekten şaşkınlıkla takip ettim. Tarihsel husumetimiz olan FETÖ’cü hesapların yaydığı bir yalan, daha sonra üzerine eklenerek, boyutlandırılarak kasıtlı olarak devam ettirildi.
Parti Sözcümüz açıklama yaptı, ben bizzat açıklama yaptım ancak bu iddialar sürdürüldü. Çünkü bunu yapanların gerçekle dertleri yok, tek amaçları bize ve partimize zarar vermek. Bunu herkes biliyor ve görüyor. Bu gündemlere teslim olacak değiliz. Bu konuda açıklama yapmayı bile aslında zül sayıyorum. Biz işimize bakıyoruz. Bizim gündemimizde memleketin sorunları ve bu sorunlara üreteceğimiz çözümler var. Herkese açık, şeffaf bir şekilde çalışmalarımıza devam ediyoruz."
'PARMAK KEMİKLERİ KIRIK'
CHP Genel Başkanı Özgür Özel’in “Herkes inceleyebilir” dediği filmleri inceleyen Ortopedist Prof. Dr. Tarık Yazar da şu değerlendirmeleri yaptı:
“Sayın Özgür Özel’in röntgen filmlerini incelediğimizde parmak kemiklerindeki kırıkları gördüm. Açık bir yara olmaması bir şanstır. Yani, dışarıya kan akmamış. Röntgende yara olup olmadığı her zaman görülmez. Ancak, Özgür Bey’in röntgenini incelediğimizde yine de şanslı olduğunu gördüm. Biz buna ‘şanslı kırık’ deriz. Aslında tam kırık da diyemeyiz. Ayrılmamış, kemiğin özelliği bozulmamış.
İyileşme yeteneğinin fazla olduğu bir bölgede kırık var. Şanslı tarafı kanlanmanın kuvvetli olduğu bir bölgede kırık gördüm. Bilgisayarlı tomografiyle takibi uygun olur. Tedaviye doğru başlanmış. Mutlaka iyileşecektir. Kullandığı ayak desteği gayet doğru bir seçim. Üç aya kalmaz tam iyileşme gerçekleşir. Lütfen bir daha düşmesin."

