Kentte yaşayan Y.S., 2021'de kızını dünyaya getirmek için özel hastanede doğuma girdi. Burada sezaryenle doğumu gerçekleştirilen kadın, taburcu edildiği gün kusma ve ağrı şikayetiyle tekrar aynı hastaneye başvurdu.
Bağırsaklarındaki sıkıntı nedeniyle 12 gün hastanede yatan Y.S., bu süreçte dünyaya getirdiği kızından da ayrı kaldı. Annesinin emziremediği bebek, mamayla beslendi. Taburcu edilmesinden 2 gün sonra Y.S.'nin doğum sonrası atılan dikişlerinden iltihap akmaya başladı.

Tekrar hastaneye başvuran Y.S.'ye, doğumu yaptıran doktor D.A., iddiaya göre durumun normal olduğunu, iltihabın zamanla biteceğini söyledi.
Hastaneden ayrılan Y.S.'nin 2 yıl boyunca ara ara ağrıları ve iltihap akıntısı devam etti. Bu sürede başvurduğu hastanelerde sonuç alamayan kadın, ağrıyla geçen 2 yılın ardından 2 ay önce Antalya Eğitim ve Araştırma Hastanesi'ne başvurdu.

2 YIL AĞRI ÇEKTİ
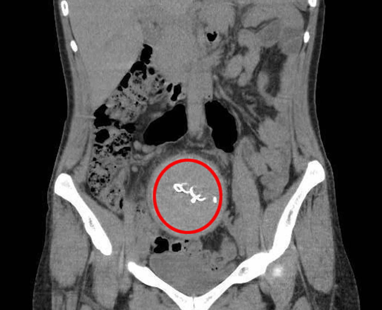
Burada yapılan kontrolde, doktor tomografi istedi. Çekilen tomografide, Y.S.'nin vücudunda doğum sonrası unutulan sargı bezi görüldü. İhmal nedeniyle 2 yıldır yaşadıklarından dolayı şoke olduğunu belirten Y.S.'nin vücudundaki 30 santimetrelik gazlı bez ameliyatla çıkarıldı.

İNCELEME BAŞLATILDI
Olayla ilgili dava açmaya hazırlanan Y.S.'nin durumunun gündeme gelmesinin ardından, Antalya İl Sağlık Müdürlüğü, hastane ve doktor D.A. hakkında inceleme başlattı.
