Cumhuriyet’in gündeme getirdiği hastanelerdeki medikal ve tıbbi cihaz sorununun ardından Sağlık Bakanı Fahrettin Koca, sorunun çözümü için sektör temsilcileriyle bir araya gelmiş, 25 Aralık’a kadar firmalara 3 milyar lira ödeme yapılacağını taahhüt etmişti. Ancak bazı üniversite ve tıp fakültesi hastanelerinde sorun henüz çözülemedi.
İzmir Balçova’da özel bir poliklinikteki mesaisinden sonra eve giderken trafik kazası geçiren ve bacağı kırılan hemşire E.Ş, ameliyat için gerekli olan tıbbi malzeme bulunamadığı için 9 Eylül Üniversitesi Hastanesi’nde dört gün bekletildi ve ameliyat yapılamadı. Hemşire 18 Aralık’ta kaza geçirdi, 22 Aralık’a kadar ameliyat edilemeyince başka bir eğitim ve araştırma hastanesine sevk edildi, operasyon burada yapıldı.
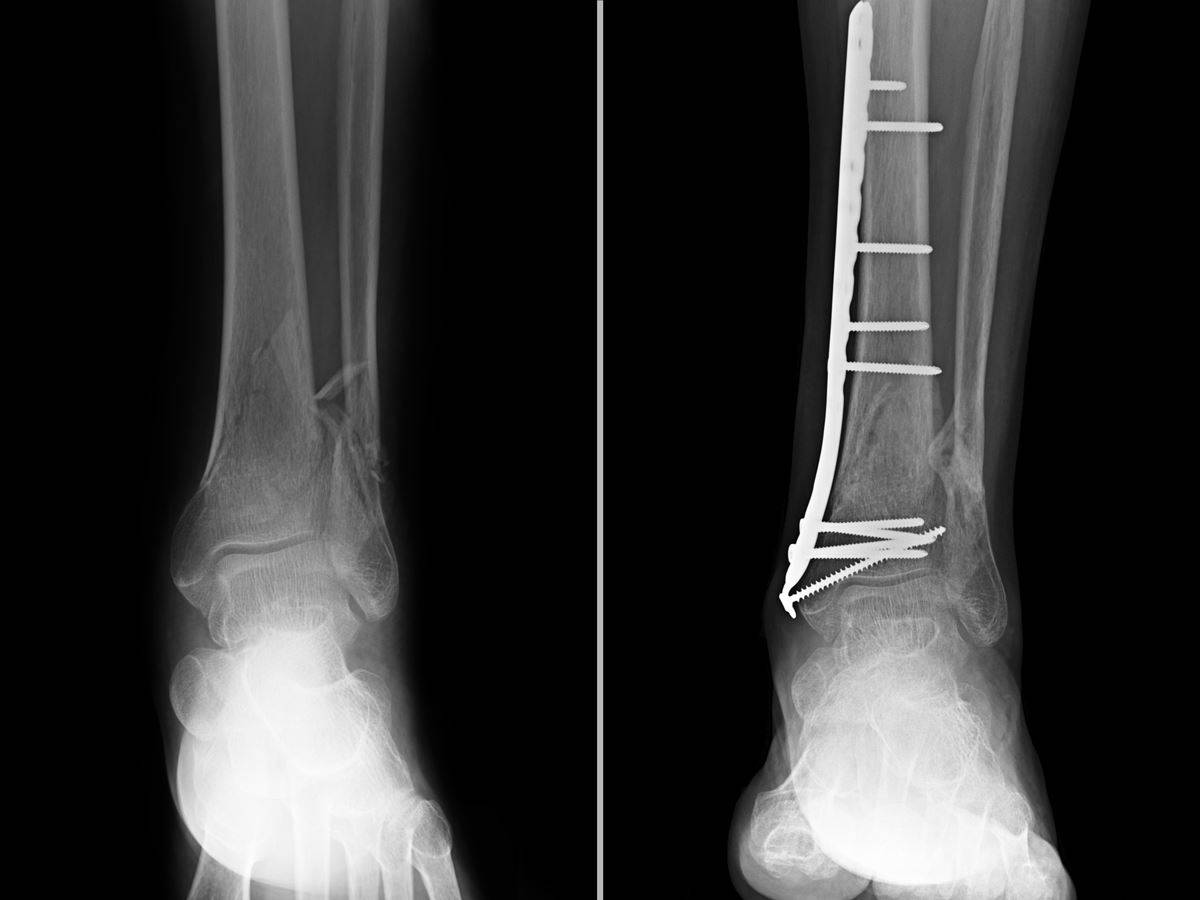
Bacaktaki kırıkları onarmak için fotoğrafta göründüğü gibi vida kullanılıyor. Hemşire üniversite hastanesinde vida bulunmadığı için dört gün ameliyat olamadı.
Dr. Ergün Demir ve Dr. Güray Kılıç, Sağlıkta Dönüşüm programı ile gelinen bu son noktada Türkiye’nin en köklü üniversite hastanelerinden birinde tıbbi malzeme (plak ve vida) eksikliği nedeniyle tibia kırığı (alt bacakta diz ile ayak arasında bulunan uzun kemik) gibi sıradan sayılabilecek ameliyatların yapılamayacak duruma geldiğini vurguladı.
Hekimler, “Tedavi hizmetlerinin aksamaması için tıbbi malzemeler konusunda acilen gereken önlemler alınmalıdır. ‘Yiğit muhtaç olmuş kuru soğana’ türküsünü dinlerken AKP iktidarının kamu üniversite hastanelerini bir vidaya muhtaç bıraktığını da gördük” dedi.
Medikal ve tıbbi cihaz üreticileri, iki yılı bulan tahsilatlarını alamadıkları gerekçesiyle kamu hastanelerine tıbbi malzeme satışlarını durdurmuş, malzeme krizi böyle başlamıştı.
YOL ÖZELE DÜŞÜYOR
Kamu, üniversite ve devlet hastanelerinde tıbbi malzeme gerektiren beyin, sinir cerrahisi, ortopedi ameliyatlarının durma noktasına geldiğini yineleyen hekimler Demir ve Kılıç, özetle şöyle konuştu:
“Tıbbi cihaz sektörüne ödenmeyen borçlar, dövizdeki anormal artış, uzun vadeler, Sağlıkta Uygulama Tebliği’nde (SUT) malzeme ve cihaz bedellerinin uzun süredir güncellenmemesi nedeniyle malzeme temin edilememektedir. Özellikle, ortez, protez, kalp pili, kateter, stent, balon gibi ithal edilen her türlü malzemenin temininde sorunlar yaşanmakta, hekimler ne acil ne de planlanmış ameliyatları yapabilmektedirler. Parası olan özel hastaneye, parası olmayan ise ağrı içinde kıvranmaya mahkûm edilmektedir. Parası olanlar veya borç para bulabilenler, kamu üniversite hastanelerinde tıbbi malzemeye ulaşamayan riskli ve zor hastalar, çaresizce ameliyatını yapabilecek tıbbi ekibi ve hastaneyi aramaktadır. Bu hastalar özel sektöre yönlendirilmektedir. Parası olmayanlar ise trafik kazası geçirse dahi kırık ağrıları ile beklemektedir.”
