Ön baskı olarak yayınlanan ve henüz hakem değerlendirmesinden geçmemiş olan araştırma, biri vücut algısıyla, diğeri ise işlem boyutu ve ölçeğiyle ilgili iki farklı beyin bölgesini kapsayan bir ağ tanımladı. Lewis Carroll’un Alice Harikalar Diyarında isimli kitabın kahramanı Alice, beyaz bir tavşanı takip ederek Harikalar Diyarı’nın garip dünyasına ulaşıyor. Burada Cheshire Kedisi’nden, başının kesilmesine sevinen Kupa Kraliçesi’ne kadar bir dizi ikonik karakterle tanışıyor, ancak bunların hepsinden önce, “Beni iç” etiketli şüpheli bir sıvı şişesiyle karşılaşıyor. Takdir edilesi bir kendini koruma içgüdüsü yoksunluğu ile bunu yapıyor ve kendini anında inanılmaz bir boyuta küçülürken buluyor.
ALICE HARİKALAR DiYARİNDA SENDROMU NEDİR?
Chip'in aktardığına göre Alice Harikalar Diyarında sendromuna (AIWS) adını veren de kitaptaki bu olaylar. Bu, son ön baskının yazarlarına göre tıp literatüründe yalnızca 170 civarında vakanın tanımlandığı nadir bir durum.
AIWS’li kişiler, çoğu zaman kendi vücut kısımlarını, başkalarının vücutlarını veya nesneleri çok büyük veya çok küçük olarak algıladıklarını bildiriyorlar. Son yıllarda bazı araştırmacılar, AIWS’nin kapsamını, insanların zamanın olması gerekenden daha hızlı aktığını hissetmesine neden olan takisensi gibi diğer algı bozukluklarını da kapsayacak şekilde genişletilmesi yönünde çağrılar yaptı.
Ön baskıdaki araştırmanın yazarları tarafından açıkladığı üzere, alışılmadık semptomlar ve iyi belgelenmiş vakaların sayısı çok az olduğundan dolayı, AIWS’nin nedenini belirlemek pek kolay değil. AIWS çeşitli şekillerde halüsinasyon, yanıltıcı bir yanlış algılama veya vücut temsiliyle ilgili çoklu duyusal entegrasyon bozukluğu olarak sınıflandırıldı. Bu durumun en yaygın tetikleyicisi migren olsa da, bazı vakalarda beyin hasarı ve tümörler de söz konusu olabiliyor.

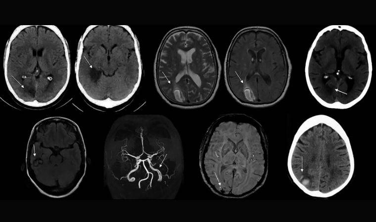
Çeşitli beyin bölgelerinde AIWS’ye bağlı beyin hasarı da rapor edilebiliyor. Çalışmanın yazarları, bunu anlamlandırmak için, tamamı daha önce tıbbi literatürde belgelenen vakalardan AIWS’li 37 kişinin beyin taramaları üzerinde lezyon ağı haritalaması adı verilen bir teknik uyguladılar.
Ekip, bu taramaları 1.000 sağlıklı kişiden ve 25 farklı nöropsikiyatrik bozuklukla ilişkili 1.073 lezyondan alınan verilerle karşılaştırdı. Birey bazında AIWS beyin lezyonlarının konumları farklılık gösterse de yüzde 85’inden fazlasının, sağ ekstrastriat vücut alanı (EBA) ve sol alt parietal lob (IPL) olmak üzere iki spesifik merkeze bağlı olduğunu keşfedildi.
Sağ EBA, beynin daha büyük görsel işleme alanının bir parçasıdır ve bir bedeni veya onun parçalarını gözlemlediğimizde etkinleşirken, bir şeyin boyutunu belirlemeye çalıştığımızda ise sol IPL devreye giriyor. Bu yüzden bu iki bölgenin, insanların vücut parçalarının anormal derecede küçük veya büyük görünmesine neden olan bir bozuklukla ilgili olması oldukça mantıklı görülebilir.
Yazarların makalede açıkladıkları üzere, “bu bağlantı modeli, diğer nöropsikiyatrik bozukluklara neden olan lezyonlarla karşılaştırıldığında AIWS’ye özgüydü ve diğer etiyolojilerden gelen AIWS hastalarındaki nörogörüntüleme bulgularıyla uyumluydu.”
New Scientist ile görüşen ve çalışmada doğrudan yer almayan nöropsikolog Joel Frank, örneklem büyüklüğünün küçük olduğunu ancak kullanılan yöntemlerin umut verici olduğunu belirtti. Frank, “Beyindeki ilişkili bölgeleri belirleyerek daha kesin teşhis araçları geliştirilebilir” dedi. Eğer bu çalışma hakem değerlendirmesinde doğrulanırsa, gelecekte AIWS için daha doğru tanı ve hatta belki de tedavi olanağının önünü açabilir. Yazarlar, yaptıkları çalışmanın “AIWS lezyon konumlarına ilişkin bugüne kadarki en büyük çalışma” olduğunu vurgularken, küçük örneklem boyutunun sınırlamalarını ve daha fazla veri toplanması ihtiyacını da kabul ediyorlar.
Harici hakem değerlendirmesine tabi olmayan ön baskı medRxiv üzerinde yayınlandı.
