Akademik yayımlar paylaşan Cureus dergisi, tıp dünyasını hayrete düşüren tuhaf bir vaka paylaştı.
Bu tuhaf vakada, karın ağrısı, kusma şikayetleriyle acil servise giden bir adamın midesinden prezervatife doldurulmuş muz çıktı.
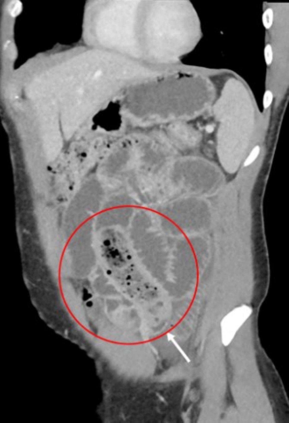
34 yaşındaki adam acil servis doktorlarına, mide bulantısı, karın ağrısı, kusma şikayetleri çektiğini ve yemek yiyip içemediğini, bir gündür de tuvalete gidemediğini söyledi.
Doktorlar, tomografisi çekilen mide için cerrahi operasyon kararı aldı. Yapılan operasyon sonucunda adamın midesinden iki kat prezervatifin içine doldurulmuş muz çıkardı.

Doktorlar, 34 yaşındaki adamın öfke nöbeti sebebiyle muz yuttuğunu ancak depresyon geçmişi olmadığını ve kendine zarar verme niyetinde bulunmadığını söyledi.
Doktorlar ayrıca, adamın olay sırasında sarhoş ya da uyuşturucu etkisi altında olmadığını belirtti.
