Cumhuriyet
Gündem Yazarlar Siyaset Ekonomi Dünya Spor Yaşam Cumhuriyet TV Reklamsız Cumhuriyet Cumhuriyete Özel
Cumhuriyet'in Egesi Kültür Sanat Gurme Yerel Gündem Eğitim Bilim ve Teknoloji Sürdürülebilirlik eGazete Resmi İlanlar
Gündem Yazarlar Siyaset Ekonomi Dünya Spor Yaşam Cumhuriyet TV Reklamsız Cumhuriyet Cumhuriyete Özel
Cumhuriyet Daily
Cumhuriyet TV
Cumhuriyet'in' Egesi
Cumhuriyet Kitap
Cumhuriyet Pazar
Pazar Yazıları
Gurme
Keşfet
Bütün Cumhuriyet arşivi her yerde ve her an yanınızda! İster telefondan, ister bilgisayardan.
  • Cumhuriyet Arşiv
  • 1930 Yılından Bugüne
  • 5.485.115+ Haber Kupürü
App Store Google Play
50 BİN +
İndirme
Size En
Uygun Paketi
Seçin
4.5
değerlendirme
Abonelik
Seçeneklerini
İnceleyin
Edebiyatın ve Kültürün Nabzı

Kitap dünyasına açılan kapınızı aralayın! En sevdiğiniz kitapları indirimli fiyatlarla keşfedin ve hayal gücünüzü genişletin.

İncele

Menü

Giriş Yap Kayıt Ol
eGazete Giriş
Okuma Listem
Gündem
Yazarlar
Çizerler
Resmi İlanlar
Siyaset
Ekonomi
Dünya
Spor
Yaşam
Cumhuriyet'in Egesi
Kültür Sanat
Cumhuriyet Pazar
Sürdürülebilirlik
Cumhuriyet Kitap
Gurme
Sağlık
Bilim ve Teknoloji
Moda
Eğitim
Gezi
Çevre
Otomotiv
İş Dünyası
Astroloji
Hava Durumu
Namaz Vakitleri
Cumhuriyet
Cumhuriyete Özel Giriş Yap
Cumhuriyet Daily Cumhuriyet TV Cumhuriyet'in Egesi Cumhuriyet Kitap Cumhuriyet Pazar Pazar Yazıları Gurme Keşfet
eGazete Giriş
Okuma Listem
Gündem
Yazarlar
Çizerler
Siyaset
Ekonomi
Dünya
Spor
Yaşam
Cumhuriyet'in Egesi
Kültür Sanat
Cumhuriyet Kitap
Moda
Cumhuriyet Pazar
Gurme
Bilim ve Teknoloji
İş Dünyası
Haberler köprücük kemiği
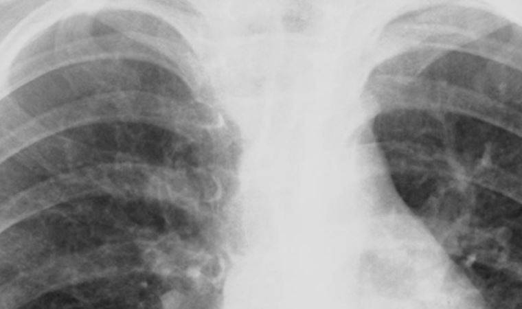
Uzmanı uyardı: 'Köprücük kemiği kırıkları ciddi sorunlara neden olabilir' Uzmanı uyardı: 'Köprücük kemiği kırıkları ciddi sorunlara neden olabilir' 30 yaş altı genç ve aktif spor yapan erkeklerde daha sık görülen köprücük kemiği kırıklarına karşı uyaran Op. Dr. Merdan Artuç, “Köprücük kemiğinin üzerine düşülmesi sonucu bir kırılma sesi duyulabilir. Ardından ağrı, şişlik ve şekil bozukluğu görülebilir. Beraberinde aynı taraf kürek kemiği kırıkları, kaburga kırıkları ve damar sinir yaralanmaları olabilmekle birlikte akciğer delinmesi gibi durumlar da olabilir” dedi.
Doğumda 'köprücük kemiği' kırıldığı iddia edilen bebek entübe edildi (23 Mayıs 2022) Doğumda 'köprücük kemiği' kırıldığı iddia edilen bebek entübe edildi (23 Mayıs 2022) Çanakkale’nin Gökçeada ilçesinde eşinin 3’üncü çocuklarını dünyaya getirdiği Erhan Özdemir (32), doğum sırasında bebeğin köprücük kemiğinin kırıldığı iddiasıyla hastane ve doktor hakkında savcılığa suç duyurusunda bulundu.

En Çok Okunanlar

Ankara Valisi ve Emniyet Genel Müdürü görevden alındı, yerlerine atanan isimler belli oldu!
Ankara Valisi ve Emniyet Genel Müdürü görevden alındı, yerlerine atanan isimler belli oldu! Resmi Gazete'de yayımlanan kararlara göre; Nevşehir Valisi Ali Fidan, Emniyet Genel Müdürü olarak atandı. Mevcut Emniyet Genel Müdürü Mahmut Demirtaş ise, İçişleri Bakanlığı emrine alındı. Aydın Valisi Yakup Canbolat Ankara Valiliğine atanırken, Ankara Valisi Vasip Şahin ise Türkiye İnsan Hakları ve Eşitlik Kurulu Başkanlığına seçildi.
Ataşehir Belediyesi'nde başkanvekili belli oldu
Ataşehir Belediyesi'nde başkanvekili belli oldu Son dakika haberi... CHP'li Ataşehir Belediye Başkanı Onursal Adıgüzel'in tutuklanmasının ardından Ataşehir Belediyesi'nde başkanvekili seçimi bugün gerçekleştirildi. Başkanvekili seçimini üçüncü tur sonunda CHP’nin adayı Murat Güneş kazandı.
Mahkemeden Adem Soytekin dahil 15 kişi için tahliye kararı!
Mahkemeden Adem Soytekin dahil 15 kişi için tahliye kararı! İBB Başkanı ve CHP'nin cumhurbaşkanı adayı Ekrem İmamoğlu'nun da aralarında bulunduğu 414 ismin yargılandığı İBB davasının 30. duruşması bugün görülüyor. Savcı 9 kişi için tahliye talep ederken, mahkeme etkin pişmanlıktan yararlanan itirafçı iş insanı Adem Soytekin dahil 15 kişinin tahliyesine karar verdi.
'Muhittin Böcek' görüntülerine soruşturma
'Muhittin Böcek' görüntülerine soruşturma Adalet Bakanı Akın Gürlek, yaptığı açıklamada Muhittin Böcek ve ailesi hakkında sosyal medyada dolaşıma sokulan görüntüler hakkında soruşturma başlatıldığını açıkladı.
Akın Gürlek'e dava: Danıştay'dan örnek karar
Akın Gürlek'e dava: Danıştay'dan örnek karar Ankara Barosu üyesi 5 avukat; Akın Gürlek’in Adalet Bakanlığı’na atanması işleminin iptali ve yürütmesinin durdurulması için Danıştay’da dava açmıştı. Danıştay 12. Dairesi; Cumhurbaşkanlığı’nın “hükümet tasarruflarının dava konusu edilemeyeceği” yönündeki savunmasına karşın; avukatların bu konuda dava açabilme yeterliliklerinin olduğuna hükmetti.
Aktaş iddianamesi dosyada...
Aktaş iddianamesi dosyada... İstanbul 1. Ağır Ceza Mahkemesi’nde görülen Aziz İhsan Aktaş Suç Örgütü Davasının iddianamesinin bir örneği, Ankara 26. Asliye Ceza Mahkemesi’nin talebi üzerine “Kurultay Ceza Davası” dosyasına gönderildi.
Ugandalı komutandan Türkiye’ye yeni tehdit
Ugandalı komutandan Türkiye’ye yeni tehdit Daha önce “1 milyar dolar vermezse ilişkileri keseceğiz” şeklinde Türkiye’yi tehdit eden Uganda Savunma Kuvvetleri Komutanı Muhoozi Kainerugaba, yine skandal sözlere imza attı. Türkiye’yi yeniden tehdit eden Kainerugaba, “Zaten 5 Türk kadınıyla evlendim. Kolay bir işti. Bir dahaki sefere beni ve Uganda'yı tekrar tehdit ederlerse savaşacağız” dedi.
Muhittin Böcek'in gelini ile 34 kişi hakkında gözaltı kararı
Muhittin Böcek'in gelini ile 34 kişi hakkında gözaltı kararı Son dakika haberi... Antalya Büyükşehir Belediyesi’ne yönelik operasyonda 34 kişi hakkında gözaltı kararı verilirken, İstanbul Cumhuriyet Başsavcılığı'nın yürüttüğü soruşturmada Muhittin Böcek’in gelini Zuhal Böcek'in de aralarında bulunduğu 3 kişi hakkında gözaltı kararı çıkarıldı.
Hemen Reklam Ver
Reklamsız Cumhuriyet
eGazete Giriş
Mesafeli Satış Sözleşmesi Teslimat ve İade Şartları
Gizlilik Politikası Yayın İlkeler İletişim Künye
© Tüm Hakları Saklıdır · 2010
Hemen Reklam Ver
  • Reklamsız Cumhuriyet
  • eGazete Giriş
  • Mesafeli Satış Sözleşmesi
  • Teslimat ve İade Şartları
App Store Google Play
© Tüm Hakları Saklıdır · 2026
Gizlilik Politikası Yayın İlkeler İletişim Künye